Il primo modulo della prima parte del II corso FAD (Dental Cadmos 6/2015, Autori A. Di Marco, M. Sicilia, L. Crivelli, T. Ghedini, J. Motta Jones) ha come obiettivo la valutazione delle indicazioni all'estrazione dei terzi molari inferiori inclusi e delle relative difficoltà operatorie. Il lavoro descrive una tecnica operativa ben definita e presenta protocolli per la gestione del decorso postoperatorio e delle eventuali complicanze.
I terzi molari inferiori sono gli elementi che più frequentemente vanno incontro a mancata eruzione (82,2%) e presentano aspetti particolari che rendono l'intervento di avulsione più difficoltoso rispetto ad altri elementi dentari.
Per ridurre al minimo il rischio di danni iatrogeni e prevenire le eventuali complicanze chirurgiche e mediche intra e postoperatorie risulta di fondamentale importanza una accurata valutazione preoperatoria del paziente, anche da un punto di vista sistemico, e la conoscenza dell'anatomia del distretto operato.
Il primo passaggio che il clinico deve compiere per una corretta pianificazione dell'intervento consiste nell'analizzare le variabili cliniche e radiografiche. A tal proposito sono prese in esame le due storiche classificazioni relative agli ottavi inferiori: Winter e Pell&Gregory.
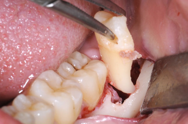
L'intervento segue precisi protocolli chirurgici. Dopo l'esecuzione di un'anestesia loco-regionale, si procede all'allestimento di un lembo di accesso mucoperiosteo a spessore totale, la cui scelta è determinata principalmente dalla profondità dell'inclusione e dalla posizione del terzo molare. In tutti i casi, il lembo deve creare un sufficiente accesso chirurgico (visivo e strumentale), evitare le strutture anatomiche circostanti (nervo linguale, arteria facciale), consentire un corretto riposizionamento del lembo e un'agevole sutura.
L'utilizzo dello strumentario piezoelettrico rappresenta una valida alternativa nei casi di ostectomia profonda e per l'avulsione di residui radicolari in stretto rapporto con strutture anatomiche nobili.
Il decorso postoperatorio che segue l'intervento chirurgico di avulsione può essere caratterizzato da diversi segni e sintomi, è importante informare il paziente sulla sintomatologia più frequente che comprende trisma, edema della zona interessata e sanguinamento.
Poiché gli interventi di avulsione degli ottavi inferiori prevedono l'utilizzo di uno strumentario base per la chirurgia estrattiva e uno strumentario specifico per le manovre di ostectomia e odontotomia, sono anche forniti i criteri di scelta più adeguati per l'esecuzione dell'intervento, per la preparazione del paziente e dell'ambiente di lavoro.
A cura di: Anna Maria Melica
Copyright © Riproduzione vietata-Tutti i diritti riservati
O33ricerca 13 Marzo 2024
Lo studio indaga gli effetti diretti e indiretti dei fattori socio-demografici, clinici, comportamentali e psico-sociali sullo sviluppo della paura del dentista dei soggetti in...
di Lara Figini
psicologia 25 Luglio 2022
In uno studio, che verrà pubblicato sul Journal of Dentistry, gli autori hanno esaminato i tratti tipici della personalità dei dentisti e ne hanno discusso in modo critico la loro influenza...
di Lara Figini
cronaca 01 Dicembre 2021
Corsa per agevolare il più possibile la somministrazione delle dosi. Ci si potrà rivolgere anche dal dentista o in farmacia. In Baviera è già possibile
aziende 19 Novembre 2021
Uno strumento nuovo per il settore dentale che consente di ricercare prodotti ed attrezzature e comparare i prezzi proposti dai vari siti di vendita online
approfondimenti 12 Ottobre 2021
Il Consejo General de Dentistas spagnolo ha pubblicato il suo Rapporto tecnico demografico sui dentisti in Spagna nel 2021, in cui analizzava vari parametri come il rapporto...
Nel suo editoriale su Dental Cadmos, il direttore scientifico prof. Lorenzo Breschi propone una serie di riflessioni sulle tante direzioni che l’odontoiatria italiana sta...
Nel suo editoriale su Dental Cadmos il prof. Breschi sottolinea come l’odontoiatria digitale non sarà più associata (solo) alla protesica ma i maggiori vantaggi li esprimerà nella diagnostica
approfondimenti 03 Febbraio 2026
Il prof. Lorenzo Breschi firma il suo primo editoriale da direttore scientifico di Dental Cadmos. L’obiettivo non sarà solo informare, ma offrire strumenti critici, evidenze...
cronaca 18 Dicembre 2025
Da gennaio il prof. Lorenzo Breschi sarà il nuovo direttore scientifico, subentrando al prof. Giovanni Lodi
approfondimenti 07 Novembre 2025
E’ il tema che il prof. Lodi affronta nel suo editoriale su Dental Cadmos, e lo fa portando le conseguenze che la disinformazione porta sui pazienti
La rivista Dental Traumatology ha pubblicato le nuove linee guida sulla gestione dell'avulsione dentale: il testo è aggiornato rispetto a quello in uso finora, datato 2007, ed è stato...
O33implantologia 01 Gennaio 2011
Obiettivi. Obiettivo del lavoro è illustrare, attraverso una revisione della letteratura e la presentazione di un caso clinico esemplificativo, la possibilità di successo del reimpianto dentale...
L’obiettivo dichiarato resta quello di continuare a lavorare in modo condiviso per raggiungere nuovi traguardi e rafforzare ulteriormente il posizionamento di Federodontotecnica...
All’ALSS6 un igienista dentale per l’eventuale sostituzione con un contratto a tempo determinato. L’ASST di Melegnano e Martesana cerca un igienista dentale per contratto...
Normative 20 Aprile 2026
Una norma che semplifica burocraticamente la gestione degli incassi e dei pagamenti e va nella direzione di una gestione amministrativa dello studio sempre più elettronica
Lettere al Direttore 20 Aprile 2026
Musella (AIO): la questione centrale non è scegliere tra libera professione e aggregazione, ma comprendere quale identità professionale si intende preservare
Approfondimenti 17 Aprile 2026
Disponibile il nuovo volume di Ezio Bruna, Andrea Fabianelli e Marco Corrias. Una guida metodologica dalla prima visita alla realizzazione finale del dispositivo protesico
Approfondimenti 17 Aprile 2026
Uno studio pubblicato su Dentistry Journal ha confrontato il modo in cui il caries risk management viene applicato nella pratica quotidiana in alcuni paesi europei
Nel suo editoriale su Dental Cadmos, il direttore scientifico prof. Lorenzo Breschi propone una serie di riflessioni sulle tante direzioni che l’odontoiatria italiana sta...
O33Inchieste 17 Aprile 2026
Una ricerca ha messo a confronto i costi delle protesi totali realizzate con workflow digitali e quelli delle tecniche tradizionali in Svizzera, Stati Uniti, Giappone e Italia
L’ASL Salerno: L’obiettivo è garantire l’accesso alle cure odontoiatriche anche a chi, per condizioni economiche o logistiche, fatica a rivolgersi ai servizi tradizionali ...
Cronaca 16 Aprile 2026
Accedendo alla propria Area riservata sul sito ENPAM è possibile scaricare la Certificazione degli oneri deducibili e la Certificazione Unica
O33Approfondimenti 16 Aprile 2026
Su Dental Cadmos pubblicato un consensus con indicazioni e consigli sulla documentazione fotografica in medicina estetica odontoiatrica del viso
Aziende 16 Aprile 2026
Gli studi dentistici italiani hanno 300.000 euro nel gestionale, centinaia di vecchissimi pazienti già acquisiti aspettano che qualcuno li richiami. I consigli di DentalLead ...
Cronaca 15 Aprile 2026
Senna: servono regole nuove per poter meglio tutelare i cittadini. Come CAO continuiamo a impegnarci per fare in modo che le STP siano l’unica forma societaria per esercitare...
O33Approfondimenti 15 Aprile 2026
Lo SPID sta diventando a pagamento, l’alternativa, gratuita, si chiama Carta d’Identità Elettronica. Ecco come funziona e come attivarla
