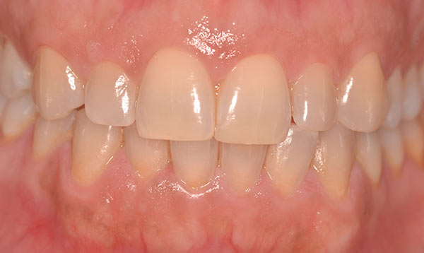
Riassunto:Sempre più persone oggi vengono ai nostri studi odontoiatrici e ci chiedono di migliorare l'estetica del loro sorriso e di schiarire il colore dei propri denti. Questo desiderio dell'uomo è insito della sua natura, voler essere sempre in ordine e con l'aspetto estetico piacevole facendolo sentire più sicuro nei rapporti con gli altri. Il colore dei denti dipende dalla quantità e dalla qualità della luce riflessa quando "colpisce" lo smalto dei denti e principalmente dalla suo spessore e dallo spessore e dalla presenza o no di sostanze cromofore all' interno della dentina. Le sostanze cromofore e/o cromogene possono essere depositate nella struttura della dentina nei vari periodi della sua formazione o attraverso vie ematiche o attraverso vie esterne. Le discromie esterne, come i depositi coloranti da cibi e bevande o da materiali, possono essere trattati ed allontanati con tecniche di spazzolamento e di trattamento chimico al domicilio o nello studio odontoiatrico con tecniche di sbiancamento professionali, le discromie intrinseche richiedono interventi professionali a volte combinati tra l' uso di mezzi ablativi, restaurativi ed ossidativi. L'applicazione di sostanze sbiancanti possono avere effetti positivi sul colore dei denti ma non sono privi di effetti collaterali negativi specialmente se superano i tempi di contatto previsti dai protocolli applicativi consigliati dalla e ricerche della letteratura scientifica internazionale.
Cenni sotirici: Al fine di aumentare l'estetica del sorriso già gli antichi Egizi e Fenici inventarono lo sbiancamento dentale combinando un trattamento con carbonato di potassio e luce solare. Gli antichi romani aumentavano la lucentezza dei denti bianchi utilizzando materiali compositi naturali basati su cera [1].
Durante il secolo XIV fili metallici e acido nitrico sono stati usati insieme, fino al XVIII secolo, quando la luce solare è stata usata ancora una volta combinando carbonato di potassio e acido lattico [1].
Alla fine del XIX secolo, grazie agli sviluppi nella chimica, è stato prodotto un nuovo composto: l'acido ipocloroso, il quale in forma di sale, ha rappresentato un efficiente sistema di sbiancamento industriale per oltre un secolo [1].
Nel 1884 per la prima volta A.W. Halan utilizzato una concentrazione di perossido di idrogeno (H2O2) come un sistema di sbiancamento che ha lavorato con l'elettricità, creando pyrozone. Questa soluzione, avendo una bassa tensione superficiale, era in grado di penetrare i tubuli dentinali, ma con notevoli rischi e controindicazioni (infiammabilità e cattivo odore).
Nel 1919 C.H. Abbot creò il Superoxol , una soluzione con perossido di idrogeno 30% e acqua distillata ed attivata da una fonte di calore.
Nel 1924 l'uso di una soluzione satura di perborato di sodio e perossido di idrogeno è stato proposto per l'idratazione dei denti prima del trattamento con il Superoxol e la fonte di calore [4]. Altri autori hanno proposto l' utilizzo di una fonte luminosa per accelerare la reazione di sbiancamento attivando l'agente sbiancante.
Nel 1961 una miscela di perborato di sodio in acqua sono stati utilizzati nei denti devitalizzati; nel 1963 Nuttling e Poe sostituito l'acqua nella miscela con il Superoxol (Walking bleaching technique) senza l'utilizzo di luce o riscaldamento [1].
Nel 1983 la dissociazione dell'acqua ossigenata in ambiente alcalino è stata realizzata in presenza di un catalizzatore, generando radicale perossido. Nel 1989 è stata proposta una tecnica di sbiancamento domiciliare, basata sul perossido di carbamide (Nightguard bleaching), ed è ancora in uso [5,6].
Il primo agente sbiancante dentale moderno deriva dal perossido di idrogeno H2O2 da 25% al 40% e di carbamide perossido [ CO(NH2)]2 H2O2 che è costituito circa da 3,5 parti di perossido di idrogeno e da 6,5 parti di urea, ma arricchito con un'acqua base, al fine di ridurre i problemi legati alla disidratazione del tessuto duro e d'irritazione locale dei tessuti molli. La corretta procedura per sbiancare i denti richiede una corretta diagnosi delle cause che hanno provocato la discromia in questione. Durante le sedute e principalmente nel tempo che passa tra le sedute che viene applicata la sostanza sbiancante è possibile che si manifestino effetti collaterali come sensibilità notevole agli stimoli termici e /o bruciore alle gengive. 26,27,28 Poiché il perossido di idrogeno forma radicali liberi che si diffondono attraverso i tessuti duri dentali si pongono degli interrogativi circa la influenza che possono avere sulla polpa e su eventuale integrità di adesione in presenza di restauri adesivi. 26. Spesso succede che durante l' applicazione del gel sbiancante sui denti con le mascherine a casa, parte del gel venga inghiottito insieme alla saliva . Ovviamente questo significa chiedersi se ci sono danni nell' apparato gastrointestinale sia immediati che remoti. 31
Lo sbiancamento dei denti è una procedura che ha come obbiettivo di risolvere in modo accettabile le discromie dei denti naturali. Il colore naturale dei denti è espressione di molti fenomeni fisici che si manifestano nel mentre la luce colpisce-attraversa lo smalto e la dentina. La permeabilità della smalto, la densità di sostanze organiche, la concentrazione di minerali nello smalto , la rifrazione della luce, la presenza di cromofori nella sostanza organica della dentina, la presenza di materiali estranei sia dall' interno che dall' esterno dei tessuti duri conferiscono l' aspetto cromatico dei denti.4,
I fattori che possono creare discromie sono ereditari, sistemici, ambientali e possono agire durante la formazione dei denti e come anche dopo la loro eruzione nella cavità orale.3,8.
Il successo di una procedura di sbiancamento dipende molto dalla corretta diagnosi delle cause della discromia e dopo dalla procedura tecnica che verrà applicata.
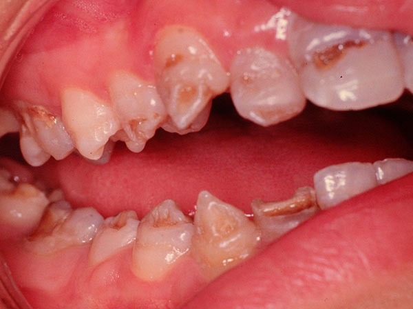
Il colore dei denti può essere alterato da sostanze che provocano discromie (discolorazione), che possono essere classificate come estrinseche ed intrinseche [3].
Discromie Estrinseche:
Tra queste cause si possono nominare i batteri cromogeni, alimenti e bevande, fumo, placca batterica, tartaro, farmaci, prodotti con clorexidina, sali metallici per applicazione clinica diretta da materiali di restauro .
Discromie Intrinseche pre-eruttive:
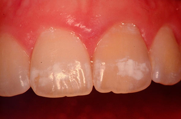
Comprende la fluorosi, l'assunzione di tetraciclina, traumi, Amelogenesi imperfetta, disturbi ematici, carenze vitaminiche e disturbi di metabolismo.
Intrinseche post-eruttive:
si possono considerare tali i trattamenti dentali inadeguati, i traumi e la dentina terziaria.2.
Una discromia può essere isolata, cioè localizzata in uno o più elementi, o generalizzata, il che significa estesa alla maggior parte degli elementi dentari.
La classificazione delle discromie è essenziale per valutare la prevedibilità dello sbiancamento e la stabilità del risultato.
Mentre una discromia estrinseca può essere facilmente trattata a casa dal paziente con alcuni tipi di dentifricio, le discromie intrinseche richiedono l' uso di air-flow o trattamenti di odontoiatria estetica additiva (resine composite, faccette, corone).
Le discromie estrinseche sono causate da esterni composti incorporati nella pellicola acquisita sulla superficie dello smalto, che causano la colorazione come risultato dell'interazione chimica tra pigmenti e la superficie del dente [4]. Tra questi fattori estrinseci ci sono batteri cromogeni (actinomiceti), cibo e bevande, fumo, farmaci, placca batterica, tartaro, prodotti con clorexidina, sali metallici, ecc.
La classificazione clinica di Nathoo S.A. è la più frequentemente utilizzata e si basa sulla pigmentazione clinica che distingue tre tipi di discromia[7].
Discromia diretta del dente di tipo N1
Composti colorati (cromogeni) formano legami con la superficie dentale provocando pigmentazione; il colore della pigmentazione è simile a quella del cromogeno. Cibi e bevande colorati (carote, rape, ciliegie, liquirizia, caffè, tè, vino) depongono direttamente sostanze cromogeni; i tannini contenuti nelle bevande menzionate interagiscono attraverso meccanismi di scambio ionico.
Ioni metallici sono anche una delle cause di questo genere di decolorazione (pigmentazione verde dal rame) o nero dal ferro.9,14,39
Discromia diretta del dente di tipo N2
Composti colorati cambiano colore dopo il legame al dente. Essi sono di solito presenti nelle zone interprossimali o cervicali dei denti invecchiati. Questo potrebbe essere causato da modificazioni indotte sulle proteine della pellicola acquisita.
Discromia diretta del dente di tipo N3
Il pre-cromogeno è un composto incolore, che attraverso reazioni chimico-fisiche diverse, dopo l'attechimento allo smalto porta a reazioni chimiche che producono la pigmentazione. Le discromie causate da clorexidina, fluoruro stannoso fanno parte di questo gruppo.
Discromie intrinseche
Sono provocate da vari fattori i quali modificano la colorazione del dente legandosi alla struttura organica ed inorganica durante il periodo dello sviluppo e della mineralizzazione.
Queste discromie coinvolgono il dente intero e si distinguono in discromie pre-eruttive (fluorosi, discromie da tetracicline, da trauma, amelogenesi imperfetta) ed in discromie post-eruttive (discromie da cause iatrogeni, traumi, dentina terziaria).16,17,25
La discromia più resistente alle procedure di sbiancamento è la fluorosi.
Già dal 1924 e più tardi nel 1942 Dean classificò la fluorosi in quattro categorie di gravità. Leggera, media, moderata e severa.
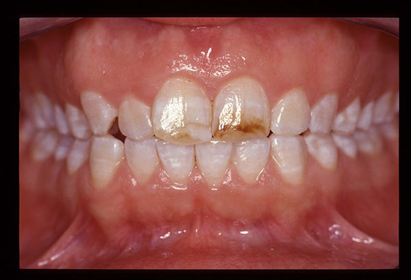
Discromia da tetraciclina può essere pre-eruttiva, quando è causata da consumo di questo antibiotico durante i secondo o terzi mesi di gravidanza, o post-eruttiva durante i primi anni (6-8 anni) e l'entità e la qualità dell'alterazione (grigio-marrone/giallo) dipende dalla dose ingerita [1]. Queste pigmentazioni sono i più difficili da trattare.
Amelogenesis Imperfecta (malformazione dello smalto) può essere causata da:
-Disordini ematologici (malattia emolitica del neonato, talassemia, anemia falciforme);
-Mancanza o malassorbimento di vitamina D, ipocalcemia genetica;
-Diabete ,ipo/iperthyroidismo;
-Ritardo mentale, paralisi cerebrale, malformazione cardiaca;
- Displasia ectodermica , ecc.
-Carie
-Malattie di infanzia (es. morbillo)-trattamenti endodontici
-Trauma dentale con necrosi della polpa può provocare discromia anormale attraverso differenti meccanismi patogenetici [1]: dentina reattiva: la reazione dell'organo della polpa dentale, dopo un evento traumatico dannoso, può provocare una cospicua deposizione di dentina di reazione per proteggere la polpa che solitamente rimane vitale. L'aumento di spessore della dentina provoca una perdita di trasparenza del dente con relativa discromia .
Emorragia e necrosi di polpa: nel caso di iperemia della polpa e/ o pulpite, si verifica l'emolisi dei globuli rossi che provoca la liberazione di hematoidina e dell'emosiderina, che, combinandosi con anidride solforica derivata dalla decomposizione delle proteine della polpa, si forma solfuro di ferro. Questa sostanza penetra i tubuli dentinali ed è responsabile per il loro colore scuro.
In caso di necrosi della polpa, i prodotti finali di decomposizione (idrogeno solforato, anidride carbonica, acidi grassi ecc.) penetrano i tubuli dentinali e causano pigmentazione anomala [15]. Se la colorazione e la patologia sono irreversibili, il trattamento endodontico è necessario e l'irrigazione di ipoclorito di sodio permette una detersione dei tubuli dentinali dai prodotti di degradazione e dai globuli rossi. Seguirà una procedura di sbiancamento dei denti con polpa non vitale, se necessario, ma questa volta il H2O2 verrà mescolato con perborato di sodio 2NaBO2(HO)2.[ nH2O2] per aumentare la formazione di ossigeno nascente .
Sbiancamento dentale con agenti sbiancanti.
Con l' applicazione degli agenti sbiancanti sullo smalto dentale si provoca la rottura dei gruppi cromofori presenti nei componenti organici e inorganici del dente a causa di una reazione chimica redox. I radicali dell'ossigeno sono liberati da perossidi contenuti nei prodotti sbiancanti e si diffondono attraverso il tessuto duro del dente fino alla giunzione amelo-dentinale). Questo processo chimico specifico redox decompone i composti di chinoni e di legami aromatici distruggendo i legami doppi e produce materiali con composizione simile alla dentina naturali.
I principali agenti di sbiancamento in odontoiatria sono il perossido di idrogeno (H2O2) e perossido di carbamide, che in presenza di un catalizzatore), si divide in perossido di idrogeno e urea [8,9]; ma i radicali dell'ossigeno sono quelli che determinano il processo di sbiancamento. La reazione chimica, in presenza di attivatori e foto-attivatori, può essere accelerata tramite l'applicazione di calore e/o di luce (sia naturale che luce laser) che sono in grado di velocizzare e per aumentare l'intensità della reazione chimica, contribuendo alla dissociazione del perossido e aumentando la formazione di ossigeno e ioni perossido [10].
Al giorno d'oggi le tecniche utilizzate prevedono l'utilizzo di perossido di idrogeno (3-38%) e perossido di carbamide (10-40%), entrambi auto o foto-attivato, o un mix di perborato di sodio e perossido di idrogeno. Questi prodotti possono essere utilizzati con tempi di applicazione diversi e concentrazione differenti.
La tecnica di sbiancamento aumenta la permeabilità della dentina e può anche intensificare la sensibilità dentinale, soprattutto con il trattamento più lungo e un innalzamento della temperatura .
In Europa il comitato scientifico per la sicurezza dei consumatori (CSSC) ha deciso che per l'uso di prodotti per lo sbiancamento dentale domiciliare, il perossido di idrogeno può essere venduto in prodotti con una concentrazione di 0,1% fino al 6% , e rispettano le disposizioni della Dir. 2011/84/UE (Direttiva per Cosmetici) , invece prodotti con più alte concentrazioni possono essere somministrati solo dai dentisti, una volta che è garantita l'assenza di fattori di rischio. È consentito l'utilizzo solo per coloro che sono 18anni o sopra e non a donne in stato di gravidanza Dir.93/42/CEE (direttiva per Dispositivi medici) [11,12,14].
Effetti indesiderati collaterali
Gli effetti collaterali causati da agenti di sbiancamento dentale possono essere suddivisi in principali e secondarie.
Tra gli effetti negativi minori dello sbiancamento dei denti sono:
-l'ipersensibilità dentinale post-trattamento, solitamente transitoria
-riduzione temporanea dell'adesione delle resine composite, per cui si consiglia di rinviare a successivi restauri per almeno un paio di settimane;
-corrosione dello strato superficiale delle otturazioni in amalgama di argento con possibile rilascio di ioni d'argento e mercurio, se l'agente sbiancante entra in contatto con una otturazione realizzata con tale materiale;29
-irritazione gengivale a causa dell'infiltrazione e azione caustica del perossido di idrogeno sotto la barriera protettiva gengivale , che può essere rapidamente risolto (2-3 giorni) e aiutato dall'uso di una crema a base di vitamina E; 5,6,8.
-ATM, sindrome algico disfunzionale a causa della lunga apertura della bocca durante la seduta di sbiancamento;
I principali effetti collaterali sono:
-la possibilità di tossicità acuta sistematica, solo in caso di ingestione accidentale di grandi quantità di perossido di idrogeno. L'ingestione può provocare crampi addominali e anche disorientamento sensoriale;
-possibile tossicità sistematica cronica non è stata clinicamente dimostrata, anche con un lungo uso di collutori contenenti perossidi o perborato (fino a 3 anni);
-over-sbiancamento.
Lo sbiancamento dei denti avviene attraverso il processo chimico di rompere i legami doppi carbonio-carbonio dei cromofori. Se il tempo di esposizione del dente per gel di sbiancamento è più lungo più di 20 minuti, è possibile sovrapporre l'ottimo "sbiancamento" ad una condizione patologica chiamata over-sbiancamento, che coinvolge la formazione dei prodotti finali di ossidazione (H2O e CO2). A livello strutturale e clinico, il sovra-sbiancamento dimostra una maggiore porosità dello smalto, fino all'arrivo alla perdita di sostanza dura, aumento della sensibilità dentinale e la necessità di devitalizzazione del dente [9,13,30]. Il tempo della procedura deve perciò essere mantenuto meno di 20 minuti. 11
Sbiancamento dentale con laser
-Sbiancamento foto assistito:
Le fonti di attivazione dei prodotti decoloranti possono essere: una normale luce, emessa da una lampada alogena, allo xeno o lampada a led che producono luce nello spettro visibile blu con una certa quantità di radiazione infrarossa (riscaldamento) o una luce laser. 21,27,28
Diverse fonti di luce laser utilizzati oggi sono il laser KTP che emette una luce visibile verde (532 nm) e il laser a diodo (da 803 fino a 980nm), il laser Nd: YAG (1064nm). La prima luce di laser da utilizzare per lo sbiancamento dentale è stata una luce blu visibile (488 nm) del laser dell'Argon, già proposto dal Prof. A. Benedicenti (1984)
La Food and Drug Administration (FDA) negli Stati Uniti, ha approvato tre tipi di laser che possono essere utilizzati invece di lampade tradizionali per lo sbiancamento: il laser di argon, laser CO2 e il laser a diodi. Durante l' emissione della luce laser occhiali protettivi specifici devono essere indossati dal paziente, dall'assistente e dal'operatore, anche da chiunque sia presente nello studio odontoiatrico. 22,23.
Il Consiglio dell'associazione dentale americana (ADA) per gli affari scientifici ha definito lo sbiancamento dentale come uno dei più conservatori trattamenti cosmetici per il sorriso di una persona. Tuttavia, ADA ha ribadito che il trattamento non è privo di rischio e deve essere effettuato un esame dentale professionale pre-trattamento, la diagnosi e la supervisione è consigliabile; è inoltre obbligatorio per spiegare gli effetti collaterali di [14] di sbiancamento dei denti al paziente.
L'uso di luce laser come un attivatore di prodotto sbiancante presenta diversi vantaggi rispetto ad altre tecniche professionali.
-Riduce il tempo di funzionamento e pertanto riduce il rischio di sovra-sbiancamento e di sensibilità post-operatoria.
-Se usato correttamente, determina un aumento minimo della temperatura intrapulpare, evitando il rischio di danni alla polpa (inferiore a 5,5 ° C) [14,24].
-Lascia l'ossigeno nascente penetrare più in profondità dello smalto e della dentina, esercitando un'efficace azione anche nelle discromie più profondi, come la tetraciclina [16,17].
L'introduzione di luce laser come fonte di induzione è stata di grande aiuto per ridurre la sensibilità post-operatoria. L'uso di un gel che contiene un pigmento colorato appropriato (cromoforo specifico per uno specifico intervallo di lunghezza d'onda), per essere applicato sul dente ed essere in grado di assorbire la lunghezza d'onda, permette di concentrare l'energia termica dell'irradiazione laser solo sullo spessore del materiale applicato, evitando un profondo sovra-riscaldamento della polpa.18,19.
Ad esempio, utilizzando un argon o KTP laser (470 nm e 534nm, rispettivamente), i colori complementari per le loro luci mono-cromatiche sono giallo-arancio e rosso-viola e così un materiale colorato-pigmentato, come rodamina, che assorbe all'interno di questa gamma, sarebbe adatto [1].
L'uso del laser con il gel che non è specifico per la lunghezza d'onda, non solo non porta il vantaggio della tecnica laser, ma porta anche gli svantaggi della penetrazione inutile della luce attraverso il gel e la sostanza dura dentale, causando effetti indesiderati e potenzialmente dolorosi e, o riscaldamento nocivo del dente e della polpa [20]. Alcuni studi in vitro hanno segnalato aumenti di temperatura elevata con diverse sorgenti luminose, tra cui il laser a diodi. [18,20,21, 47].
Recentemente il laser Er: YAG è stato descritto come un generatore di una energia con lunghezza d'onda sicura per essere utilizzato trattamenti sbiancanti in studio. La componente principale (40-55% in peso) di gel sbiancante è acqua; il laser Er: YAG emette una luce che è altamente assorbita in acqua e a causa del contenuto di acqua alta del gel sbiancante , non c'è nessun bisogno della presenza di componenti assorbente aggiuntivi . L'alto assorbimento dell'energia del laser Er: YAG dal gel acquoso (nei primi 10-50 micron del gel) rende la procedura anche sicuro per la vitalità della polpa, eliminando il rischio potenziale di surriscaldamento la polpa .
Inoltre, considerando la capacità del laser Er: YAG per l'ablazione dei tessuti duri, l'uso di energia di impulso relativamente basso (40mJ), durata lunga di impulso (1000ms) e grande diametro del puntale del manipolo R17 (5 mm) impiegato ( 22), garantire la sicurezza dei tessuti duri dentali perché la risultante bassa fluenza (0.5J / cm2) è stata impostata per essere sotto la soglia dell' ablazione dello smalto e della dentina, cosí come sotto la soglia della microesplosione dell'acqua [23].
Gli studi da Gutknecht et al (20) hanno mostrato che per 35J di energia laser Er: YAG, somministrati durante un periodo di trattamento di 30 secondi, l'aumento della temperatura massima nell'alloggiamento della polpa è stato inferiore a 2,6 ° C. Misurazioni con il diodo (810nm) e il laser Nd: YAG (1064nm) ha mostrato livelli molto più grandi di energia cumulata necessaria per ottenere la stessa riduzione del tempo di sbiancamento, rispetto al laser Er: YAG [39].
Inoltre, considerando la capacità del laser Er: YAG per l'ablazione dei tessuti duri, l'uso di energia di impulso relativamente basso (40mJ), durata lunga di impulso (1000ms) e grande formato di puntale del manipolo R17 (5 mm) impiegato [23], garantisce la sicurezza dei tessuti duri dentali perché la risultante bassa fluenza (0.5J / cm2) è stato dimostrato di essere sotto la soglia di ablazione dello smalto e della dentina, cosí come sotto la soglia di esplosione dell'acqua [22].
Procedura preliminare
Indipendentemente dalla tecnica usata, la procedura di sbiancamento deve seguire una procedura standard che include una visita odontoiatrica preliminare, che coinvolgono:
-Anamnesi generale e dentale: è utile anche per scoprire alcune abitudini errate che potrebbero compromettere il risultato finale ed il perdurare di sbiancamento (eccesso di fumo, caffè o altre sostanze pigmentazione).
-Ispezione generale: comporta l'analisi dei tessuti duri e molli e un esame radiografico completo. Lo sbiancamento dentale è un trattamento che deve essere eseguito esclusivamente in presenza di parodonto sano. Eventuale recessione gengivale deve essere protetta e devono essere valutati eventuali fenomeni di ipersensibilità preesistente. Inoltre, questa procedura non è consigliabile in pazienti con fessure nello smalto, carie primaria o secondaria o ipersensibilità dentale.
-Consenso informato: il paziente deve essere informato circa i rischi maggiori e minori, probabilmente correlati con lo sbiancamento. Pazienti con restauri diretti od indiretti.
-l'eventuale necessità di procedere con il rifacimento dei restauri dopo lo sbiancamento.
-Eccessive attese (il paziente deve essere consapevole dei limiti del trattamento) e scarsa compliance del paziente a tollerare il tempo del trattamento può essere un controindicazioni. Il paziente deve essere avvertito anche di non consumare prodotti che possono macchiare i denti fino a 48 ore dopo il trattamento; Questo sarebbe includono, ma non limitarsi a, alcuni frutti colorati, caffè, vino rosso, salse di pomodoro, tè, tabacco, ecc.
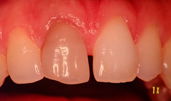
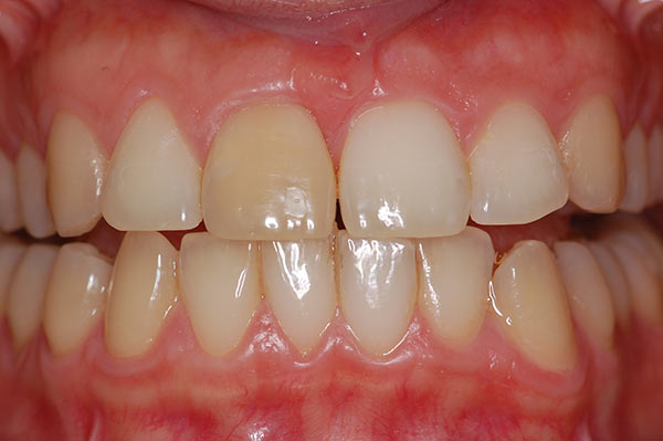
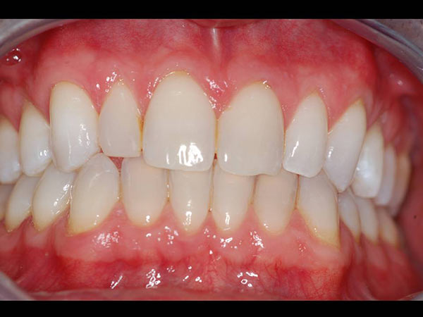
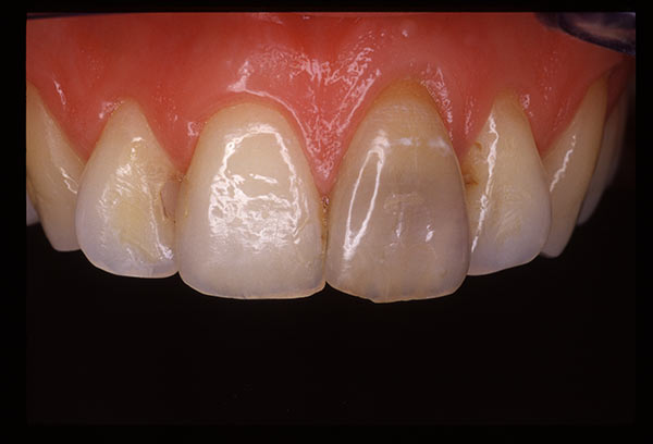
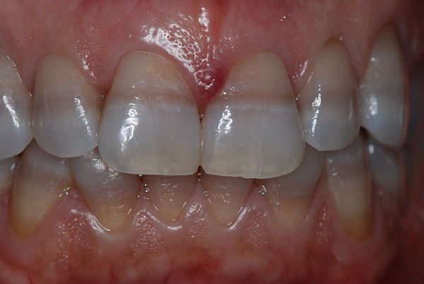
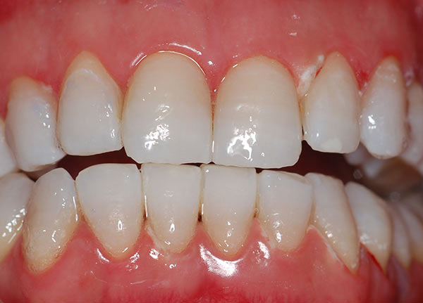
-Esame fotografico e valutazione del colore completano il consenso informato. La serie di foto viene eseguita prima e dopo il trattamento professionale, per motivare il paziente nel controllo della discromia esterna e il mantenimento del risultato. Fotografie devono essere prese prima e 7 giorni dopo la procedura di sbiancamento in studio. La scala colori Vita viene utilizzata come riferimento.
-Preparazione iniziale: solo dopo un'adeguata terapia parodontale e la risoluzione di patologie esistenti sarà possibile procedere al trattamento. Questo include scaling meccanico e/o manuale e levigatura delle radice se necessario, al fine di rimuovere depositi di tartaro, eliminazione della placca batterica lasciando lo smalto pulito per diminuire la formazione di pigmenti estrinseci .
Tossicità degli agenti sbiancanti.
I prodotti sbiancanti che oggi vengono utilizzati sia nello studio odontoiatrico che al domicilio dai nostri pazienti , si considerano abbastanza sicuri per la salute umana. Esaminando profondamente la letteratura scientifica internazionale, risulta che ci sono riferimenti , per ora non molti, riguardanti alcuni casi clinici che hanno manifestato degli effetti collaterali sia sui denti che nelle mucose orali e del sistema gastrointestinale. Ci sono alcuni riferimenti anche sul deterioramento in superficie di alcuni materiali usati per delle otturazioni. Per queste ragioni e per probabili azioni mutageni , la Comunità Europea ha stabilito delle percentuali di H2O2 contenuto nei vari prodotti che si possono utilizzare nel libero mercato di prodotti Cosmetici.27,28
Nonostante il perossido d'idrogeno si usa da molto tempo come agente sbiancante il meccanismo della sua azione non è del tutto chiaro. Le sostanze che provocano le discromie contengono dei gruppi cromofori che sono residui organici di lunghe catene di carbonio (-C-C- oppure - C=C- ), che a loro volta compongono anelli fenolici o carbolici. Il colore di una simile molecola è dovuto dalla sua lunghezza e dalla sua forma, mentre la sua solubilità dalla polarità. L' azione degli agenti sbiancanti viene attribuita alla modifica della forma , della lunghezza e della polarità di tale molecola agendo mediante la rottura e/o la ossidazione dei loro legami insaturi. Tutto questo meccanismo viene influenzato da una serie di reazioni chimiche che a loro volta dipendono da vari fattori come può essere la temperatura, la luce ultravioletta, il pH e la presenza di alcuni ioni. In un microambiente alcalino il H2O2 subisce un frazionamento ionico e la conseguente formazione di un anione HO2¯ , che è un forte ossidante dei cromofori, ed un H⁺. Inoltre l'anione HO2¯può funzionare come donatore di elettroni ed attivare la formazione di radicali liberi cosa che comporta un diverso assorbimento della luce. E' stato osservato che quando si usa come agente sbiancante il carbamide perossido al 10% dentro la mascherina e con la presenza della saliva si ha un aumento del pH dopo 15minuti. Questo aumento è dovuto alla formazione di ammoniaca dopo il frazionamento dell' urea contenuta nel perossido di carbamide e così si ha in seguito il frazionamento ionico del perossido di idrogeno con la conseguente azione sbiancante.
Il H2O2 è un prodotto del metabolismo del ossigeno e sono stati condotti degli studi importanti circa le sue proprietà biologiche. La sua scoperta risale al 1918 mentre gli enzimi che contribuiscono al suo metabolismo la catalasse e la superossidasse sono state scoperte nel 1898-1901. Settanta anni più tardi si scopre la perossido-bismutasse enzima fondamentale per il,metabolismo dell' ossigeno.32,33,38,
Alcuni effetti indesiderati dall'azione degli agenti sbiancanti si hanno anche dai tessuti duri del dente. Secondo alcuni ricercatori il perossido di idrogeno, con il frazionamento che subisce quando viene attivato, libera radicali OH¯ che rompono le catene delle molecole dei cromofori ma contemporaneamente agiscono anche sulla superficie dello smalto creando microfratture , cambio della struttura dei cristalli di apatite, liberazione di alcuni prismi di smalto con la conseguente porosità della superficie smaltea dovuta anche alla dissoluzione della componente organica provocando così una diminuzione della durezza di superficie della smalto. 17,40,41
I risultati degli studi sulle modificazioni della struttura dello smalto sono non tutti omofoni. Dalle ricerche dei 18, 19,20,21,22 risulta che dopo l' uso del perossido di carbamide al 10% o al 20% ma anche con H2O2 al 35% non ha provocato danni riscontrabili sullo smalto. Comunque le eventuali microporosità che si riscontrano sulla superficie dello smalto sono inferiori da quelle che i hanno dopo una mordenzatura dello smalto con un acido orto-fosforico al 35%. Inoltre è stato constatato che anche se fosse come è stato descritto prima per i danni sullo smalto dopo l' uso di questi agenti sbiancanti, la saliva stessa provoca la sua remineralizzazione entro i successivi tre mesi.19,30,37.
Influenza del H2O2 sui materiali da restauro.
Molte ricerche confermano la negativa influenza dei vari tipi di sbiancanti sulla struttura dei materiali da restauro. L' effetto più evidente si ha sulla superficie dei materiali compositi sulle otturazione dei denti anteriori. Inoltre il perossido di idrogeno interferisce sulla polimerizzazione dei monomeri dei materiali compositi resinosi e per questo e consigliabile di rimandare il rifacimento di eventuali otturazioni di almeno due settimane.42,43,44. Aumenta notevolmente la rugosità della superficie e diminuisce la micro durezza esponendo il restauro in microfratture più o meno profonde secondo quanto viene sollecitato il materiale durante la sua funzione masticatoria. Da restauri metallici ( amalgama d'argento , leghe metalliche usate nelle strutture protesiche, ceramiche non bene cristallizzate ecc.) possono liberarsi ioni metallici con la conseguenza l' indebolimento del restauro ed il successivo peggioramento della discromia per via della deposizione degli ioni metallici sullo smalto irruvidito dall' azione ossidante e del pH basso di alcuni materiali sbiancanti. L' eventuale aumentato assorbimento di ioni metallici non comporta intossicazione del paziento in quanto il quantitativo liberato di questi ioni è di gran lunga inferiore dei limiti clinicamente accettati dall' Organizzazione Mondiale della Sanità (OMS)
Questi effetti negativi possono essere minimizzati clinicamente se l' operatore usa degli accorgimenti semplici di lucidatura della superficie dei restauri microscopicamente alterati. 45
Effetti sulla polpa dei materiali sbiancanti.
Molti lavori di ricerca , la maggior parte effettuate in vitro , hanno dimostrato che il perossido di idrogeno contenuto nei prodotti sbiancanti quando vengono applicati sullo smalto possono penetrare nella dentina sottostante e quindi nella polpa dentaria. E' stato calcolato che applicando sullo smalto un gel sbiancante contenente fino 12% di H2O2 per più di 7 ore arriva fino alla polpa quantità inferiore di 30 µg, quantità incapace di provocare danni pulpari. Ovviamente ci sono molti fattori che possono influenzare la quantità di OH¯ che possono in vivo raggiungere la polpa, come per esempio il tempo di permanenza del gel sul dente, la concentrazione di OH¯, la presenza di difetti dei tessuti duri di del dente, per eventuale presenza di restauri non congrui.
In una ricerca effettuata su denti di cani Seale et al. 46, applicando un gel sbiancante contenente 35% di H2O2 quattro volte alla settimana e per trenta min per volta hanno riscontrato alterazioni istologiche sulla polpa. Queste alterazioni erano più intense in tutti i casi dove il gel era stato attivato con luce alogena di forte intensità come anche da LED o Laser sia KTP che CO2. Più elevata di 5,6 gradi temperatura endopulpare si ha dall' uso di gel sbiancanti colorati in rosso scuro e con laser a diodi. Questa moderata infiammazione della polpa può provocare, se persiste, la fuoriscita dal circuito ematico capillare di alcuni enzimi e di conseguenza i primi passi per una pulpite. Certamente molti ricercatori (26) sostengono che la polpa dei denti umani dispone di meccanismi di autoprotezione tanto che basti 0,3mmol/l di H2O2 per provocare la stimolazione degli odontoblasti di formare nuova dentina.
Un altro effetto negativo che può riscontrarsi durante ma spesso dopo la seduta di sbiancamento è la sensibilità dentinale che a volte è molto fastidiosa a uni su due casi clinici. 33,35. La causa è , come Branstrom e Garberoglio descrissero nella teoria idrodinamica del fluido dentinale, la aumentata permeabilità dentinale principalmente nel terzo cervicale coronale dove i tubuli dentinali sono più numerosi, corti ed aperti con più diretta stimolazione dei recettori del dolore da stimoli esterni. Si consiglia in questi l' applicazione di sostanze atte a formare nuova dentina di reazione o la sigillatura dei tubuli denti mediante prodotti resinosi e/o remineralizzanti come composti da tricalcio-fosfato in varie forme. Comunque è consigliabile prima di procedere alle procedure di sbiancamento professionale di sostituire vecchie otturazioni non sigillanti ed eliminare le carie presenti otturando perfettamente le cavità create.37
Azione del H2O2 sui tessuti moli .
Il perossido di idrogeno (H2O2 ) in concentrazioni elevate è stato riscontrato che è molto irritante per le gengive e per le mucose orali in genere. In colture cellulari il H2O2 è citotossico in concentrazioni che variano tra 1,7 a 19.7 µg/mL (0,05-0,58mml/L). In concentrazioni di 10% ed oltre si possono verificare alterazioni nelle mucose o nelle gengive con causalgia , ulcerazioni ed alterazioni istologiche. In uno studio su topi l' applicazione di H2O2 al 15%-39% sulla pelle del dorso, provocò necrosi dell' epidermide e distruzione dei vasi ma dopo 6 giorni si è verificata una iperplasia dell' epidermide e successiva guarigione della lesione. E' fortemente consigliabile la protezione delle gengive con gel protettivo prima di applicare il gel sbiancante sullo smalto che contiene H2O2 da 12% ed oltre. Quando si usa la tecnica domiciliare con gel di carbamide perossido al 10% (3,5% H2O2) si deve accertare che la mascherina confezionata sia personalizzata e ben sigillante e che abbia un serbatoio sufficiente per il gel e inoltre insegnare al paziente come e quanto gel immettere nella parte interna che circonda lo smalto. Poiché tale irritazione gengivale è soggettiva e dipende da più fattori che spesso all' operatore sfuggono è importante che si faccia una scrupolosa diagnosi della forma dei denti e della qualità dello smalto e soprattutto del biotipo gengivale per poter "dosare" il tipo del gel sbiancante , il tempo di applicazione ed eventuali creme protettive per le mucose e per le gengive. 31,33
Intossicazione e cancerogenicità dell' H2O2.
Alcune volte può verificarsi durante lo sbiancamento domiciliare di inghiottire piccole quantità di gel. Da ricerche effettuate sempre su topi introducendo nello stomaco, mediante catetere, 15 e 50 mg di carbamide perossido per mg di peso dell' animale, esso provocò ulcera nella mucosa gastrica dopo solo un ora di tempo , ma dopo 24ore era già iniziata la guarigione . Altri ricercatori hanno ripetuto questi esperimenti aumentando la % del gel con risultati simili fino mortali . Si deduce che sicuramente il perossido di idrogeno non è dannoso nelle percentuali che si usa clinicamente ma ci possono essere assunte quantità maggiori accidentalmente. Casi di avvelenamento accidentale sono stati riportati nella bibliografia ma è molto rara e comunque con immediati lavande gastriche si evita la morte dell' individuo. Per quanto riguarda la cancerogenicità del perossido di idrogeno poiché nella sua forma chimica stabilizzata non elettroni liberi possiamo dire che non dispone di radili liberi , in presenza però di ioni di Fe si trasforma in OH¯ e OOH¯ secondo la reazione di Fenton che a loro volta sono componenti che fanno parte attiva alla catena mitochondriale. Da varie ricerche risulta che la presenza di molecole ossidative fa parte nella formazione del DNA cellulare e poiché alcuni tumori si è riscontrata elevata concentrazione di alterazioni ossidative del DNA si pensa che alte percentuali di H2O2 possono contribuire nello sviluppo di alcuni tipi di tumori, come anche possono contribuire che alcune lesioni iperplastiche si evolvono in neoplasie. La IARC ( Associazione internazionale di ricerca sul cancro) considera che i risultati delle ricerche sulla carcinogenesi indotta dal perossido di idrogeno in basse concentrazioni , come lo è nei gel per lo sbiancamento domiciliare , è poco probabile e servono ulteriori ricerche cliniche a distanza per escludere definitivamente il pericolo di cancerogenicità delle sostanze sbiancanti.27
Fasi operative per lo sbiancamento dei denti con polpa vitale e non.
Alcune tecniche adottate e descritte e da vari Autori per lo sbiancamento dei denti vitali, la cui decolorazione avviene per cause sistemiche generali (solo durante il periodo di formazione dei denti) o per cause locali, sono risultate pocoo nulla efficaci.
Tra le principali cause sistemiche generali, che già sono state descritte, ricordiamo:
- la fluorosi endemica, dovuta a ingestione di una quantità elevata di fluoro (due parti per milione ed oltre e per lungo tempo), assunta per mezzo dell'acqua potabile: si ha un colore marrone a macchie,
-la somministrazione di tetracicline, per il trattamento di infezioni: le tetracicline si legano chimicamente alla dentina, conferendo al dente un
le cause locali colore che può variare dal giallo al bruno,
-malattie congenite (porfiria), ereditarie (dentina opalescente) o altro. Tra ricordiamo il fumo, il cibo e il rossetto per labbra.37
Tecnica per i denti vitali
La tecnica di sbiancamento dei denti vitali richiede una accurata protezione delle gengive con la diga oppure con resine specifiche fotoindurenti e dopo l'accurata detersione della superficie dello smalto con un solvente o xilolo, prevede l'uso di una pomata detergente con uno spazzolino usato molto lentamente e nei casi di fluorosi l' uso molto attento di pomice mescolata con acido cloridrico al 15% che viene applicato sulla superficie dello smalto, prima di usare il gel sbiancante tra il 25% al 36% di H2O2.
Quindi si applica una fonte di calore per un massimo di 20 minuti da una distanza di 50-60 cm. L'operazione viene ripetuta una volta alla settimana per tre settimane di solito, ma nei casi di discromie persistenti si può fare anche per due volte nell'arco della stessa settimana e, infine, i denti vengono accuratamente lucidati con creme dessensibilizzanti. Per molti anni i clinici, per ottenere risultati migliori, hanno confezionato delle mascherine individuali delle arcate dentarie del paziente avendo cura di creare degli spazi di 2mm per contenere il gel sbiancante solo sulla corona del dei denti senza invadere le gengive. 34. Applicando il gel ogni sera per due o tre ore tra una seduta e l' altra alla fine si ha un ottimo risultato. Poiché da alcune recenti ricerche risulta che si può ottenere lo stesso risultato applicando il gel solo per due minuti ogni sera evitando così fastidiose perdite di tempo e qualche effetto collaterale, si consiglia la scelta questi prodotti. 35,36.
Lo sbiancamento dei denti non vitali
Ricordando e riassumendo le cause principali delle discromie dei denti con la polpa non vitale sono:
-la necrosi del tessuto pulpare,
-i residui di tessuto necrotico pulpare da errata apertura della camera pulpare,
-l'intensa emorragia pulpare durante la terapia endodontica, se non e seguita da un corretto drenaggio,
-emorragia pulpare dovuta a trauma,
- sostanze iatrogene,
-materiali d'otturazione.
Se, spesso, riusciamo a ottenere più che buoni risultati e, comunque, sempre apprezzabili miglioramenti estetici nei primi casi sopra descritti, di scarsissimo interesse estetico risultano i tentativi di sbiancamento nei due casi di decolorazione da sostanze iatrogene e da materiali d'otturazione.
La causa più frequente di decolorazione è data dalla persistenza di materiale pulpare in decomposizione nella camera pulpare. Infatti, se questa non é stata bene aperta, risulterà difficile l'accesso al margine incisale e ai cornetti con conseguente «dimenticanza» dei detriti pulpari e formazione, più o meno lenta, di composti cromatogeni, che provocano la decolorazione del dente.
Altra causa frequente di decolorazione è l'emorragia pulpare, sia dovuta a trauma che alla stessa manipolazione endodontica non seguita da un adeguato drenaggio. II sangue travasa nella dentina, gli eritrociti si disfano nei tubuli dentinali (la decolorazione è più evidente nei soggetti giovani, in quanto più larghi sono i tubuli dentinali), l'emoglobina si degrada nei vari pigmenti: emosiderina, ematoporfirina, ematina, che provocano la decolorazione, la quale, a sua volta, viene aggravata dall'acido solfidrico prodotto dalla decomposizione batterica, che si combina con gli stessi composti dell'emoglobina.
Tra le cause iatrogene ricordiamo l' iodoformio, gli ioduri, l'olio di cassia, il nitrato d' argento, che scolorano il dente combinandosi con altri medicamenti canalari o con i prodotti della decomposizione della polpa.
Tra i materiali d'otturazione, infine, ricordiamo il più frequente: l'amalgama d'argento. L'amalgama di rame è poco usata e l'oro può causare decolorazione solo se si combina con i prodotti della carie. L'amalgama d'argento è spesso la causa dei sopraddetti inconvenienti, quando lo smalto non è sorretto da un sufficiente strato di dentina e l'amalgama è visibile in trasparenza. I denti decolorati a causa dei materiali d'ot turazione e anche per altre cause iatrogene, sono i più difficili da trattare e le varie tecniche di sbiancamento, per altro tutte simili, non sortiscono quasi mai risultati apprezzabili.
In ogni caso sottolineiamo che, nella preparazione del dente, è indispensabile lavorare sotto diga.
Prima di descrivere la tecnica dello sbiancamento, è necessario porre molta attenzione ai preliminari. La diga e, appunto, indispensabile: oltre a mantenere il dente asciutto dalla saliva, evita il rischio che si possano irritare, con i materiali che ci si appresta a usare, i tessuti parodontali.
Altrettanto indispensabile è la corretta pulizia della camera pulpare, del bordo incisale, dei cornetti pulpari, da ogni residuo di polpa necrotica. E, inoltre, opportuno svuotare dalla guttaperca il o i canali radicolari per almeno un paio di millimetri al di sotto del bordo gengivale, perche la sua permanenza nei canali e, spesso, un'altra causa di decolorazione dei colletti.
Si deterge,infine,la cavità del den te con cloroformio (o xilolo), per eliminare ogni sostanza grassa.
Si imbeve un batuffolino di cotone con alcune gocce di una soluzione di acqua ossigenata al 36% in volume in acqua distillata pura. Il batuffolo di cotone viene introdotto nella camera pulpare; quindi si applica una fonte di calore, di solito una lampada fotografica, a una certa distanza -dal viso del paziente (50-70 cm), e si lascia accesa per 5-6 minuti oppure lampade specifiche con luce estesa sulla banda dell' infrarosso.
Si può usare anche una diversa fonte di calore, come un escavatore o uno strumento riscaldato alla fiamma, ma non rovente.
L'operazione viene ripetuta 4-5 volte nella stessa seduta. Già dopo una seduta si hanno, di solito, risultati apprezzabili, ma se la decolorazione iniziale era piuttosto intensa, per ottenere risultati ottimali la tecnica va ripetuta per altre 2-3 sedute, distanziate di una settimana.
Tra una seduta e l'altra si lascia nella camera pulpare un cotoncino imbevuto di perossido di idrogeno al 36%, perche questo continui a liberare ossigeno.
Importante è chiudere con accuratezza la cavità con cementi all'ossifosfato di zinco o cementi vetroionomerici, per essere certi che l'ossigeno, che continua a liberarsi e che tende a spingere in fuori il cemento finche non sia indurito, non trovi una pur piccola via di uscita, vanificando l'efficacia della medicazione.
Un'altra tecnica poco usata oggi ma molto efficiente, consiste nel fare un impasto piuttosto denso di perborato di sodio e acqua ossigenata al 36 % in volume e, sempre dopo avere adottato i dovuti accorgimenti (pulizia della camera, diga, asportazione di 2 mm di guttaperca, detersione della camera), se ne deposita una piccola parte nella cavità, comprimendola con un cotoncino; quindi viene applicata la fonte di calore direttamente a contatto con l'impasto. La fonte di calore è rappresentata da uno strumento (escavatore lungo) riscaldato alla fiamma oppure elettricamente, ma non rovente, che si lascia a contatto con il perborato di sodio ed acqua ossigenata per alcuni secondi (finchè si sente il "friggere" causato dalla liberazione dell'ossigeno).
Anche in questo caso si pulisce accuratamente la camera e si ripete l'operazione per 4-5 volte nella stessa seduta. Se, poi, si reputano necessarie altre sedute, si praticano medicazioni intermedie intervallate di una settimana, lasciando un po'di impasto nella camera pulpare e chiudendo, dopo aver interposto un batuffolo di cotone, con cemento all'ossifosfato di zinco o vetroionomerico.
Anche con questa tecnica è importante assicurarsi che il cemento chiuda bene la cavità e che, anzi, venga tenuto pressato, finche non indurisce. A sbiancamento ultimato si chiude in composito la cavità con procedure adesive accurate preferibilmente due settimane dopo l' ultima seduta della sostanza sbiancante. Questo ai fini di non interferenza dell' ossigeno libero, ancora presente nei tubuli dentinali, al processo di polimerizzazione dei materiali di restauro.
Vi sono altre varianti a queste due tecniche, una delle quali fa uso di acido cloridrico e di etere, oltre all'acqua ossigenata, per migliorare la penetrazione nei tessuti dentari; ma di questo è gia stato detto a proposito dei denti vitali.
Concludendo va osservato che, tra gli interventi odontoiatrici che mirano a migliorare la salute e l'estetica del paziente, lo sbiancamento dei denti è uno tra quelli che con più immediata evidenza viene recepita dal paziente, il quale spesso regala all'operatore, con altrettanta immediatezza , un sorriso liberatorio, forse per qualche tempo, più o meno inconsciamente, represso. Quel sorriso al quale tutti hanno diritto e che, se spontaneo e aperto, é sinonimo di salute.
Conclusioni.
-I eventuali danni che gli agenti sbiancanti possono provocare sullo smalto dei denti umani si identificano come lesioni microscopiche che in breve tempo si ripristinano dal contenuto dei minerali contenuti nella saliva orale.
-Essi possono aumentare la rugosità superficiale dello smalto ma principalmente di eventuali materiali di restauro con la conseguente riduzione o perdita del loro sigillo periferico con i tessuti duri del dente provocando così fessure dove può svilupparsi del biofilm cariogeno secondario ed ioni cromogeni con la successiva minor durata dell' effetto sbiancante ottenuto.
-Sensibilità dentinale che spesso si ha dopo le procedure di sbiancamento professionale si risolve in breve tempo con l'aiuto di dentifrici contenenti fluoro oppure elevate concentrazioni di apatite artificiale in soluzioni o in forma di vernici adesivi.
-I danni che possono presentarsi dalla polpa dentaria oppure nelle gengive e/o nelle mucose sono reversibili in poco tempo.
-I prodotti sbiancanti domiciliari , usati nelle percentuali previsti dalla legge, non sono dannosi per la salute generale dei pazienti.
Considerazioni finali.
Alla luce di quanto esposto sopra, risulta che per ottenere un effetto estetico cromatico naturale bianco e giovanile sui denti dei nostri pazienti e meno dannoso possibile, è fondamentale valutare attentamente ogni caso clinico e riuscire a capire le cause che hanno alterato il colore dei denti e solo dopo un' esame radiografico e clinico sarà possibile decidere il tipo di procedure e di materiali da utilizzare per ogni caso specifico. E' importante confezionare molto attentamente e con massima precisione i dispositivi porta-gel domiciliari per il completamento della terapia sbiancante e fare in modo che si abbia il miglior effetto estetico con la minor applicazione temporale dei gel indicati. Secondo un' indagine commerciale pochi sono i prodotti per uso domiciliare che ci permettono di ottenere un effettivo miglioramento estetico-cromatico senza la presenza di effetti termici e/o di ipersensibilità dentinale durante o post trattamento. Indubbiamente alcuni prodotti che con una applicazione serale per soli due minuti permettono in dieci o quindici giorni di ottenere un miglioramento da due a quattro tonalità cromatiche del colore dei denti dei nostri pazienti , sono da preferire poiché come si è detto in più punti nell' articolo, il tempo di permanenza del gel sbiancante può aumentare gli effetti collaterali sullo smalto e sulle gengive.
Da una ricerca clinica che alcuni ricercatori ed operatori clinici hanno effettuato, viene confermata l'efficacia di questi gel particolari che se applicati sullo smalto ben pulito in modo corretto in breve tempo (due minuti), conferiscono una cromaticità naturale e giovanile senza l'antipatica e fastidiosa rugosità che si ha con l' applicazione di apparecchi che tra l' altro bisogna tenere in bocca per ben più lungo tempo. 36.
Autori:
Prof. Vassilios Kaitsas (nella foto): Prof. a.c. presso il Corso di Laurea Magistrale in Odontoiatria e Protesi Dentaria - Università degli Studi di Genova
Coordinatore scientifico del Master internazionale di II livello "International Master of Science in Advanced Aesthetics and Restorative Dentistry" - Università degli Studi di Genova.
Prof. Antonio Signore: Prof. a.c. presso il Corso di Laurea Magistrale in Odontoiatria e Protesi Dentaria - Università degli Studi di Genova
Coordinatore scientifico del Master internazionale di II livello "International Master of Science in Advanced Aesthetics and Restorative Dentistry" - Università degli Studi di Genova
Prof Stefano Benedicenti: Disc-Università degli studi di Genova
Bibliografia.
1 . Olivi G . and Olivi M. Lasers in Restorative Dentistry: a practical guide 2015 Springer, Berlin (in english).
2.Caprioglio C, Olivi G, Genovese MD. I laser In Traumatologia Dentale. Ed.Martina, Bologna 2010 (in italian).
3. Watts A, Addy M. Tooth discolouration and staining: a review of the literature. Br Dent J. 2001;190(6): 309-16.
4. Addy M, Moran J. Mechanisms of stain formation on teeth, in particular associated with metal ions and antiseptics. Adv Dent Res. 1995;9:450-6.
5. Haywood VB, Heymann HO. Nightguard vital bleaching. Quintessence Mt 1989;20:173-6.
6. Haywood VB. History, safety and effectiveness of current bleaching techniques and applications of the nightguard vital bleaching technique. Quintessence Int. 1992;23:471-88.
7. Nathoo SA. The chemistry and the mechanism of extrinsic and intrinsic discoloration. J Am Dent Assoc. 1997;128:6-10.
8. Buchalla W, Attin T. External bleaching therapy with activation by heat, light or laser a systematic review. Dent Mater. 2007;23:586-96.
9. McEvoy S. Chemical agents for removing intrinsic stains from vital teeth. II. Current techniques and their clinical application, vol. 20. Chicago Quintessence Int; 1989. p. 379-84.
10. Barone M, Crippa R, Benedicenti S. Laser a diodi in odontoiatria. Milano: EdiErmes; 2008. p. 159-61.
11.Scientific Committee on Consumer Products (European Commission). Opinion on hydrogen peroxide in tooth whitening products. SCCP/0844/04, 15 Mar 2005.
12.Scientific Committee on Consumer Products (European Commission). Opinion on hydrogen peroxide, in its free form or when released, in oral hygiene products and tooth whitening products. SCCP/1129/07,18 Dec 2007. Gazzetta ufficiale dell'Unione europea DIRETTIVA 2011/84/UE L283/36-283/38, allegato In, 29 Oct 2011.
13.Pinheiro JE, Fidel R, da Cruz Filho AM, et al. In vitro action of various carbamide peroxide gel bleaching agents on the microhardness of human enamel. Braz Dent J. 1996;7(2):75-9.
14.Tooth whitening/bleaching: treatment considerations for dentists and their patients. ADA Council on Scientific Affairs. Sept 2009 (revised Nov 2010), p. 1-12.
15.Sulieman M, Rees JS, Addy M. Surface and pulp chamber temperature rises during tooth bleaching using a diode laser: a study in vitro. Br Dent J 2006;200:631-4.
16. Lin LC, Pitts DL, Burgess LW. An investigation into the feasibility of photobleaching tetracycline-stained teeth. J Endodod. 1988;14:293-9.
17. Davies AK, Cundall RB, Dandiker Y, Sifkin MA. Photooxidation of tetracycline adsorbed onto hydroxyapatite in relation to the light-induced staining of teeth. J Dent Res. 1985;64:936-9.
18.Wetter NU, Walverde DA, Kato IT, Eduardo C. Bleaching efficacy of whitening agents activated by xenon lamp and 960 urn diode radiation. Photomed Laser Surg. 2004;22(6):489-93.
19.Dostalova T, Jelinkova H, Housova D, Sulc J, Nemec M, Miyagi M, Brugnera Jr A, Zanin F. Diode laser-activated bleaching. Braz Dent J. 2004;15:S1-3-8.
20. Gutknecht N, Franzen R, Meister J, Lukac M, Pimat S, Zabkar J, Cencic B, Jovanovic J. A novel. Er:YAG laser-assisted tooth whitening method. J Laser Health Acad. 2011;2011(1). ISSN 1855-9913. www.laserandhealth.com.
21.Luk K, Tam L, Hubert M. Effect of light energy on peroxide tooth bleaching. J Am Dent Assoc. 2004;135(2):194-201.
22. Sari T, Usumez A. Office bleaching with Er:YAG laser. Case report. J Laser Health Acad. 2013;2013(1). www.laserandhealth.com
23. Majaron B, Sustercic D, Lukac M, Skaleric U, Funduk N. Heat diffusion and debris screening in Er:YAG laser ablation of hard dental tissues. Appl PhysB. 1998;66:479-87.
24. van As G. Laser dentistry: power laser bleaching with the AMD Picasso Diode laser. Dent Today. 2010;200
25.L.FONZI, R.Garberoglio, C.Zerosi. Anatomia microscopica del dente e del parodonto. Padova. Piccin 1991
26. V. Kaitsas. Chapter 1.Fisiopatologia della polpa.SIE . Manuale di Endodonzia Milan; Elsevier Masson; 2013
27. D.Dionysopoulos. Biological effects of vital tooth bleaching. Odontostomatological Progress 2015,69 (1) 48-65
28.M.Antoniadou, E. Tsiouri, D. Spagopoulos. Hydrogen peroxide as a tooth bleaching product. Effect on the human body and the intraoral soft tissues. Odontostomatological Progress 2013, 67,(1) 14-27.
29.B.Cviki, A.Lussi, A.Moritz, S.Flury. Enamel surface changes after exposure to bleaching gels containing carbamide peroxide or hydrogen peroxide. Operative Dentistry, 2016, 41-1 E39-E47.
30. AT. Abe, MN.Youssef, ML.Turbino. Effect of bleaching agentson nanohardness of tooth enamel, composite resin, and the tooth-restoration interface. Operative Dentistry, 2016, 41-1, 44-52
31. M.Furukawa, Jr K-Kaneyama, M. Yamada, A. Senda, A. Manabe, A. Miyazaki. Cytotoxic effects of hydrogen peroxide on human gingival fibroblasts in vitro. Operative Dentistry, 2015, 40-4, 430-439
32.E. Klaric, M.Rakic, I. Sever, O. Milat, M.Par, Z.Tarle, Enamel and dentin microhardness and chemical light-activated bleaching. Operative Dentistry, 2015, 40-4, E132-E141
33.D.G.Soaers, N.Marcomini, F.G.Basso, T.N.Pansani, J.Hebling, C.A.Souza Costa. Indirect cytocompatibility of a low-concentratio hydrogen peroxide bleaching gel to odontoblast-like cells. International Endodontic Journal 49, 26-36, 2016
34.de Paula EA, Nava JA, Rosso C, Benazzi CM, Fernandes KT, Kossatz S, Loguercio AD, Reis A. In-office bleaching with a two- and seven-day intervals between clinical sessions: A randomized clinical trial on tooth sensitivity. J Dent. 2014 Sep 23.
35. RezendeM, Loguercio AD, Kossatz S. Reis A. Predictive factors on the efficacy and risktintensity of tooth sensitivity of dental bleaching: A multi regression and logistic analysis. J Dent. 2016 Feb:45:1-6.
36.L. Leonardi. Innovazione tecnologica nel campo dello sbiancamento professionale domiciliare. Cosmetic Dentistry 1. 28-35
37.V. Kaitsas, U.Vaccaro. Tecnica di sbiancamento dei denti vitali e non vitali. Il Dentista Moderno 10/1984
38.Ten Bosch JJ, Coops JC. Tooth color and reflectance as related to light scattering and enamel hardness. J Dent Res 1995; 74: 374-380.
39. Hattab FN, Qudeimat MA, al Rimawi HS. Dental discoloration: An over- view. J Esthet Dent 1999; 11: 291-310.
40. Hegedus C, Bistey T, Flora-Nagy E, Keszthelyi G, Jenei A. An atomic force microscopy study on the effect of bleaching agents on enamel surface. J Dent 1999; 27:509-515.
41.Leonard RH Jr, Eagle JC, Garland GE, Matthews KP, Rudd Al, Phillips C. Nightguard vital bleaching and its effect on enamel surface morphology. J Esthet Restor Dent 2001;13: 132-139.
42.Lopes GC, Bonissoni L, Baratieri LN, Vieira LC, Monteiro S Jr. Effect of bleaching agents on the hardness and morphology of enamel. J Esthet Restor Dent 2003; 14:24-30.
43.White DJ, Kozak KM, Zoladz JR, Duschner H, Gotz H. Peroxide interactions with hard tissues: Effects on surface hardness and surface/ subsurface ultra- structural properties. Compend Contin Educ Dent 2002; 23:42-48.
44.Yurdukoru B, Akoren AC, Unsla MK. Alterations in human enamel surface morphology following the use of an office bleaching agent and consecutive application of 37% phosphoric acid in vivo. J Clin Dent 2003; 14:103-107.
45.Sulieman M, Addy M, MacDonald E, Rees JS. A safety study in vitro for the effects of an in-office bleaching system on the integrity of enamel and dentine. J Dent 2004; 32:581-590.
46. NS. Seale, JE.Mcìntonsh,AN. Taylor. Pulpal reaction to bleaching of teeth ìn dogs. J.Dent.res. 1981;60: 948-953.
47.Barone M., Crippa R., Benedicenti S. Laser a diodi in odontoiatria. Milano. Edi Ermes; 2008. Pag. 159-161.
Copyright © Riproduzione vietata-Tutti i diritti riservati
O33igiene-e-prevenzione 28 Aprile 2026
Analisi delle evidenze scientifiche sul ruolo delle sorgenti luminose nello sbiancamento in‑office, con l’obiettivo di chiarirne i meccanismi d’azione, l’effettiva...
O33igiene-e-prevenzione 03 Febbraio 2026
Uno studio pubblicato sul Journal of Dentistry ha cercato di chiarisce gli effetti, negativi, su ceramica e composito
O33igiene-e-prevenzione 19 Gennaio 2026
Uno studio pubblicato sul Journal of Esthetic and Restorative Dentistry valuta l’impatto del CaPP e della luce LED viola su colore, microdurezza e morfologia dello smalto
normative 05 Dicembre 2025
Il parere dei Ministeri della Salute e delle Imprese e Made in Italy richiesto dalla Federazione degli Ordini dei Farmacisti sulla possibilità di effettuare sedute di sbiancamento in farmacia
igienisti-dentali 04 Settembre 2025
La prof.ssa Nardi dalla 82° mostra d’arte cinematografica di Venezia commenta i sorrisi della star e invita a considerare l’esecuzione di attente procedure cliniche personalizzate minimamente...
di Prof.ssa Gianna Maria Nardi
O33ricerca 13 Marzo 2024
Lo studio indaga gli effetti diretti e indiretti dei fattori socio-demografici, clinici, comportamentali e psico-sociali sullo sviluppo della paura del dentista dei soggetti in...
di Lara Figini
psicologia 25 Luglio 2022
In uno studio, che verrà pubblicato sul Journal of Dentistry, gli autori hanno esaminato i tratti tipici della personalità dei dentisti e ne hanno discusso in modo critico la loro influenza...
di Lara Figini
cronaca 01 Dicembre 2021
Corsa per agevolare il più possibile la somministrazione delle dosi. Ci si potrà rivolgere anche dal dentista o in farmacia. In Baviera è già possibile
aziende 19 Novembre 2021
Uno strumento nuovo per il settore dentale che consente di ricercare prodotti ed attrezzature e comparare i prezzi proposti dai vari siti di vendita online
approfondimenti 12 Ottobre 2021
Il Consejo General de Dentistas spagnolo ha pubblicato il suo Rapporto tecnico demografico sui dentisti in Spagna nel 2021, in cui analizzava vari parametri come il rapporto...
O33ricerca 15 Maggio 2026
Uno studio analizza come l’esposizione a metalli durante gravidanza e prima infanzia possa essere ricostruita attraverso i denti da latte per individuare le fasi più sensibili...
O33igiene-e-prevenzione 30 Aprile 2026
Obiettivo della ricerca è stato analizzare comparativamente le formulazioni disponibili per comprendere il loro potenziale nella gestione clinica non invasiva
Cronaca 15 Maggio 2026
Fondazione ANDI e ANDI uniti per la prevenzione del tumore del cavo orale e per la promozione del vaccino contro il Papilloma Virus (HPV)
Approfondimenti 15 Maggio 2026
Una revisione internazionale esplora il ruolo delle piattaforme digitali nella comunicazione sanitaria, tra opportunità educative e necessità di costruire modelli affidabili di divulgazione
Cronaca 15 Maggio 2026
Dal Congresso CAO all’Expodental Meeting il messaggio per la professione: L’IA rappresenta uno strumento potente, ma la cura è fatta di relazione tra medico e paziente
Cronaca 14 Maggio 2026
Due momenti di approfondimento e confronto sull’odontoiatria speciale. Sarà anche presentato un Protocollo di Salute Orale Integrata per rendere strutturale l’attenzione...
Per la prima volta nella storia della Repubblica la prevenzione odontoiatrica entra in un piano nazionale per le scuole. L'emendamento è del Sen. Orfeo Mazzella, primo odontoiatra eletto al Senato
Anelli (Fnomceo) e Senna (Cao nazionale): “Occorrono controlli rigorosi e verifiche sostanziali anche da Regioni, mai più casi Torino”
Un’edizione importante quella che si è aperta questa mattina a Rimini di Expodental Meeting con oltre 400 espositori, una superficie espositiva di 60.000 metri quadrati e il...
Aziende 13 Maggio 2026
Fatti aiutare da chi analizza e supporta il tuo studio ottimizzando i suoi 4 pilastri: clinica, persone, numeri e marketing odontoiatrico etico. Ecco come funziona il metodo Make...
O33Normative 13 Maggio 2026
Con la conversione in legge del Decreto fiscale e le circolari di chiarimento l’iperammordamento si delinea la fase operativa, anche se non tutto è ancora pienamente definito
Lettere al Direttore 13 Maggio 2026
Il dott. Sanvenero ritiene che l’obbligo tale obbligo non si applica a chi non esercita secondo le modalità proprie delle imprese
Cronaca 12 Maggio 2026
I nuovi libri, i nuovi corsi, gli incontri con gli Autori, con le redazioni. Venite a trovarci allo stand EDRA per scoprire tutte le novità
Aziende 12 Maggio 2026
Il perché te lo spieghiamo in questo articolo e scarica gratuitamente il libro “Il dentista cieco”. Vieni a trovarci a Rimini, ne parleremo insieme e ti presenteremo...
Cronaca 12 Maggio 2026
A scoprirlo la Procura dopo la denuncia per abusivismo. Aveva presentato alla Regione un finto attestato di laurea, nessuno aveva verificato l’effettiva autenticità
Aziende 11 Maggio 2026
Tre giorni di innovazione, confronto e soluzioni cliniche avanzate in ortodonzia ed implantologia allo stand Leone
