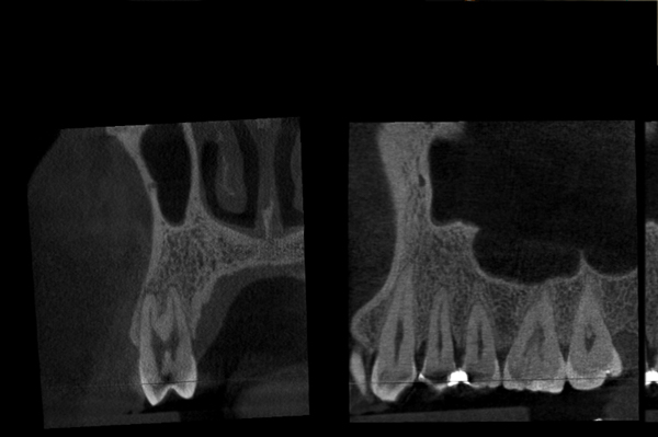
Il caso presenta la riabilitazione di un premolare superiore interessato dal fallimento di un trattamento endodontico in una paziente donna di 37 anni, non fumatrice e con una buona igiene.
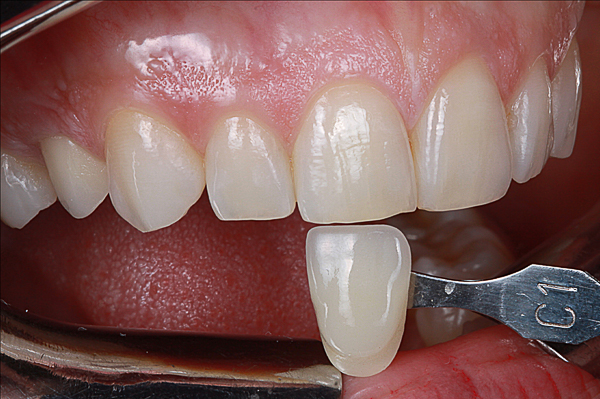
A seguito dell'analisi radiografica viene pianificata l'estrazione atraumatica del premolare con l'inserimento contestuale di un impianto Shelta. La riabilitazione immediata viene eseguita con un pilastro XA per protesi avvitata, su cui viene fissato un provvisorio realizzato in laboratorio secondo i principi dei profili di emergenza della tecnica B.O.P.T.
Il caso
Donna, 37 anni, non fumatrice, con una buona igiene, si presenta in studio con un fallimento del trattamento endodontico dell'elemento 1.4.
Copyright © Riproduzione vietata-Tutti i diritti riservati
O33implantologia 21 Aprile 2026
Obiettivi della revisione pubblicata su Frontiers in Oral Health era identificare i principali fattori associati al fallimento degli impianti dentali e analizzare le metodiche...
O33protesi 07 Aprile 2026
Il lavoro si propone di mostrare come un flusso digitale integrato possa accompagnare tutte le fasi della riabilitazione implantare nei pazienti con dentizione terminale
O33implantologia 25 Marzo 2026
Uno studio analizza come la presenza di un impianto possa influenzare, nel tempo, il livello osseo e la sopravvivenza dei denti naturali vicini
O33implantologia 17 Marzo 2026
Uno studio analizza come la scelta dell’abutment, integrata nella pianificazione digitale, orienti la posizione dell’impianto rispetto ai parametri anatomici e restaurativi
O33implantologia 02 Febbraio 2026
Quando il disegno protesico può non solo prevenire, ma anche risolvere condizioni infiammatorie peri-implantari
aziende 27 Febbraio 2024
Con due date sold out, Sweden & Martina ha presentato a circa un migliaio di medici provenienti da tutta Italia NOXI, il primo e unico allineatore progettato per il solo uso...
eventi 23 Giugno 2022
L’evento aziendale più atteso del panorama implantologico italiano torna in presenza con una formula interamente rinnovata: il primo International Symposium Sweden &...
aziende 19 Ottobre 2018
Focus sulle giornate romane di odontoiatria protesica Sweden & Martina
aziende 06 Giugno 2017
Non c'era nulla fuori posto, al Palazzo della Ragione, nelle tre giornate che hanno ospitato in un contesto architettonico straordinariamente emozionante una serie di relazioni scientifiche capace di...
Aziende 11 Maggio 2026
Tre giorni di innovazione, confronto e soluzioni cliniche avanzate in ortodonzia ed implantologia allo stand Leone
Inchieste 11 Maggio 2026
Uno studio pubblicato su Dental Cadmos fotografa livello di conoscenza, la diffusione d’uso e l’interesse formativo degli igienisti dentali italiani in tema di sedazione cosciente
O33Approfondimenti 11 Maggio 2026
Una ricerca pubblicata su JD fa il punto sull'evoluzione e i progressi delle tecnologie di intelligenza artificiale sull’assistenza odontoiatrica
Cronaca 11 Maggio 2026
Il nuovo libro EDRA per fornire al clinico un approccio chiaro e progressivo all’utilizzo dei filler a base di acido ialuronico. Immagini e video completano l’opera
Approfondimenti 08 Maggio 2026
Una ricerca conferma parte dal paradosso del nocebo per sottolineare come, nella medicina contemporanea, non basta curare bene, bisogna anche comunicare bene.
E’ il quesito che si pone il prof. Breschi nell’utimo editoriale su Dental Cadmos in cui sostiene che serve, per la professione, un equilibrio tra competenza clinica e...
Cronaca 08 Maggio 2026
Il Consiglio di Stato ha respinto i ricorsi sul semestre aperto per Medicina, Odontoiatria e Veterinaria, confermando l’ordinanza del Tar Lazio e la legittimità del sistema ...
Aziende 07 Maggio 2026
Aggiornamento per igienisti dentali ed odontoiatri. Venerdì 15 maggio 2026 con la prof.ssa Gianna Nardi ed il dott. Giuseppe Chiodera
Cronaca 07 Maggio 2026
Dal 14 al 16 maggio, a Rimini, l’appuntamento di riferimento per tutto il settore dentale: ricco programma scientifico e mostra merceologica. Ecco le modalità per iscriversi...
Approfondimenti 07 Maggio 2026
Particolare attenzione deve essere prestata ai casi di sovradosaggio intenzionale negli adolescenti. Ecco le raccomandazioni dell’Agenzia Italiana del Farmaco
Normative 07 Maggio 2026
Per gli avocati Stefanelli e Castelli è un obbligo e non si può ignorare. Ecco di cosa si tratta e perché lo studio odontoiatrico deve attivarsi
Cronaca 06 Maggio 2026
I sindacati odontoiatrici contro due emendamenti proposti a decreto riforma professioni sanitarie. ANTLO: gli emendamenti sono già stati giudicati inammissibili, volete impedire...
L’obiettivo è garantire agli studenti un accesso precoce e privilegiato a un network professionale consolidato
Cronaca 05 Maggio 2026
La lista guidata da Corrado Bondi presenta il programma e traccia la rotta per il futuro dell’Associazione. Obiettivo: dare risposte concrete a un settore in rapida evoluzione
