Scopo del lavoro è stato quello di analizzare e confrontare sistemi autoleganti attivi e passivi e di proporre una sequenza archi adatta per l’utilizzo dei bracket Time2.
Attraverso un’ampia revisione della letteratura è stata illustrata l’evoluzione storica delle tecnologie self-ligating mettendo in risalto le principali caratteristiche dei sistemi autoleganti interattivi e passivi.
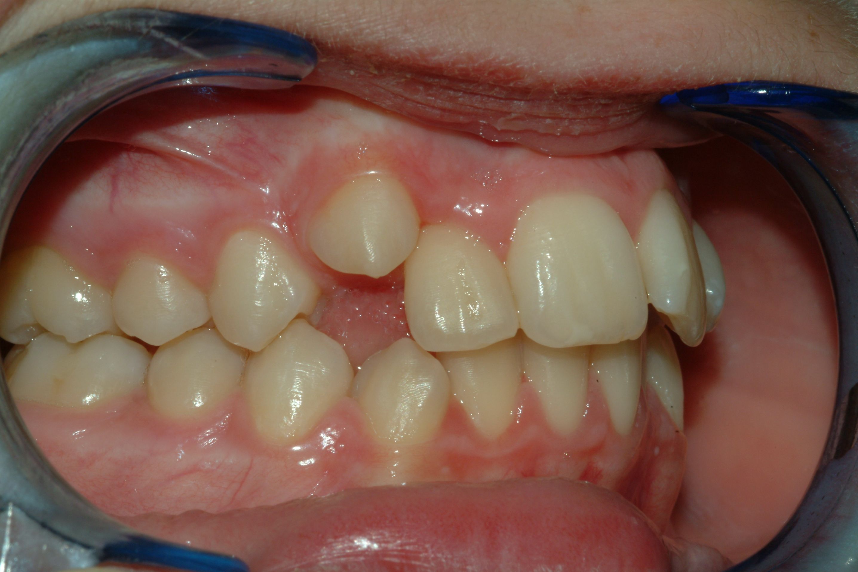
Le particolari caratteristiche dei bracket autoleganti interattivi consentono di diminuire l’attrito, in particolar modo nelle prime fasi di un trattamento ortodontico mantenendo la possibilità di un ottimale controllo della posizione tridimensionale degli elementi dentali.
La sequenza proposta consente di sfruttare appieno le peculiarità dei bracket Time2 rispettando le necessità biologiche di ogni singola malocclusione.
Passive vs active self-ligating brackets: clinical applications
The aim of this study was to analyze and compare different passive and interactive self-ligating systems and to propose an archwire sequence for Time2 brackets.
A wide literature review has been performed to illustrate historical development of self-ligating technologies paying particular attention to the main characteristics of passive and interactive self-ligating systems.
Distinctive features of interactive self-ligating brackets allow to decrease friction particularly in the initial phases of orthodontic treatment, maintaining the possibility of an optimal control of 3D teeth position. The archwire sequence proposed by the Authors permits to make the most of Time2 brackets peculiarities, respecting in the same time biological needs of any specific malocclusion.
Qualifiche Autori:
Università degli Studi di Roma “Tor Vergata”
Scuola di Specializzazione in Ortognatodonzia
Direttore: prof. P. Cozza
Dental Cadmos 2007; 9: I-XXIX
Copyright © Riproduzione vietata-Tutti i diritti riservati
O33endodonzia 01 Novembre 2011
ObiettiviValutare l’influenza della contaminazione ematica sull’adesione e sul sito di distacco di tre differenti tipi di bracket self-ligating.Materiali e metodiSi sono suddivisi 240 incisivi...
strumenti-e-materiali 30 Settembre 2006
Il lavoro si propone di valutare in vitro la frizione che si sviluppa su un’intera arcata in 3 differenti sistemi low-friction (legature Slide, bracket Synergy, bracket autoleganti Time 2),...
Abbiamo parlato di obiettivi, eventi scientifici e formativi, del ruolo della Società scientifica ma anche una riflessione sull’odontoiatria al digitale
Approfondimenti 21 Aprile 2026
Per AIO non vanno visti come obblighi ma rientrano nell’evoluzione delle responsabilità dell’Odontoiatra
Pechino intensifica la lotta alle fake news in campo sanitario, ritirati dagli schermi televisivi gli spot ritenuti fuorvianti
Lettere al Direttore 20 Aprile 2026
Musella (AIO): la questione centrale non è scegliere tra libera professione e aggregazione, ma comprendere quale identità professionale si intende preservare
L’obiettivo dichiarato resta quello di continuare a lavorare in modo condiviso per raggiungere nuovi traguardi e rafforzare ulteriormente il posizionamento di Federodontotecnica...
All’ALSS6 un igienista dentale per l’eventuale sostituzione con un contratto a tempo determinato. L’ASST di Melegnano e Martesana cerca un igienista dentale per contratto...
Normative 20 Aprile 2026
Una norma che semplifica burocraticamente la gestione degli incassi e dei pagamenti e va nella direzione di una gestione amministrativa dello studio sempre più elettronica
Approfondimenti 17 Aprile 2026
Disponibile il nuovo volume di Ezio Bruna, Andrea Fabianelli e Marco Corrias. Una guida metodologica dalla prima visita alla realizzazione finale del dispositivo protesico
O33Inchieste 17 Aprile 2026
Una ricerca ha messo a confronto i costi delle protesi totali realizzate con workflow digitali e quelli delle tecniche tradizionali in Svizzera, Stati Uniti, Giappone e Italia
Approfondimenti 17 Aprile 2026
Uno studio pubblicato su Dentistry Journal ha confrontato il modo in cui il caries risk management viene applicato nella pratica quotidiana in alcuni paesi europei
Nel suo editoriale su Dental Cadmos, il direttore scientifico prof. Lorenzo Breschi propone una serie di riflessioni sulle tante direzioni che l’odontoiatria italiana sta...
L’ASL Salerno: L’obiettivo è garantire l’accesso alle cure odontoiatriche anche a chi, per condizioni economiche o logistiche, fatica a rivolgersi ai servizi tradizionali ...
Cronaca 16 Aprile 2026
Accedendo alla propria Area riservata sul sito ENPAM è possibile scaricare la Certificazione degli oneri deducibili e la Certificazione Unica
O33Approfondimenti 16 Aprile 2026
Su Dental Cadmos pubblicato un consensus con indicazioni e consigli sulla documentazione fotografica in medicina estetica odontoiatrica del viso
