Copyright © Riproduzione vietata-Tutti i diritti riservati
O33implantologia 25 Marzo 2026
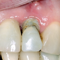
Uno studio analizza come la presenza di un impianto possa influenzare, nel tempo, il livello osseo e la sopravvivenza dei denti naturali vicini
O33implantologia 17 Marzo 2026
Uno studio analizza come la scelta dell’abutment, integrata nella pianificazione digitale, orienti la posizione dell’impianto rispetto ai parametri anatomici e restaurativi
O33implantologia 02 Febbraio 2026
Quando il disegno protesico può non solo prevenire, ma anche risolvere condizioni infiammatorie peri-implantari
O33implantologia 28 Gennaio 2026
Conservare denti strategici e adottare protocolli digitali avanzati può trasformare la gestione del full‑arch. Un caso clinico documenta risultati estetici e funzionali...
O33implantologia 13 Gennaio 2026
Risultati clinici e radiografici a 10 anni mettono in discussione il dogma dei 3 mm alla luce dei moderni design implantari con connessione conica interna
Approfondimenti 17 Aprile 2026
Disponibile il nuovo volume di Ezio Bruna, Andrea Fabianelli e Marco Corrias. Una guida metodologica dalla prima visita alla realizzazione finale del dispositivo protesico
O33Inchieste 17 Aprile 2026
Una ricerca ha messo a confronto i costi delle protesi totali realizzate con workflow digitali e quelli delle tecniche tradizionali in Svizzera, Stati Uniti, Giappone e Italia
Approfondimenti 17 Aprile 2026
Uno studio pubblicato su Dentistry Journal ha confrontato il modo in cui il caries risk management viene applicato nella pratica quotidiana in alcuni paesi europei
Nel suo editoriale su Dental Cadmos, il direttore scientifico prof. Lorenzo Breschi propone una serie di riflessioni sulle tante direzioni che l’odontoiatria italiana sta...
L’ASL Salerno: L’obiettivo è garantire l’accesso alle cure odontoiatriche anche a chi, per condizioni economiche o logistiche, fatica a rivolgersi ai servizi tradizionali ...
Aziende 16 Aprile 2026
Gli studi dentistici italiani hanno 300.000 euro nel gestionale, centinaia di vecchissimi pazienti già acquisiti aspettano che qualcuno li richiami. I consigli di DentalLead ...
Cronaca 16 Aprile 2026
Accedendo alla propria Area riservata sul sito ENPAM è possibile scaricare la Certificazione degli oneri deducibili e la Certificazione Unica
O33Approfondimenti 16 Aprile 2026
Su Dental Cadmos pubblicato un consensus con indicazioni e consigli sulla documentazione fotografica in medicina estetica odontoiatrica del viso
Nuovi servizi extra Lea e innalzamento delle soglie Isee, attivazione di 6 pronto soccorso odontoiatrico, più assistenza per pazienti con disabilità e giovani
O33Approfondimenti 15 Aprile 2026
Lo SPID sta diventando a pagamento, l’alternativa, gratuita, si chiama Carta d’Identità Elettronica. Ecco come funziona e come attivarla
Cronaca 15 Aprile 2026
Senna: servono regole nuove per poter meglio tutelare i cittadini. Come CAO continuiamo a impegnarci per fare in modo che le STP siano l’unica forma societaria per esercitare...
Musella: un progetto ambizioso che mira a formare una nuova generazione di odontoiatri, capaci di coniugare competenza tecnica, responsabilità etica e apertura al cambiamento ...
Il presidente Allegri presenta il Congresso di Maggio e riflette sull’anniversario numero 40 dell’Accademia Italiana di Odontoiatria Conservativa e Restaurativa
O33Approfondimenti 14 Aprile 2026
Un recente controllo del Nas in uno studio di medicina estetica porta l’attenzione sulla validità dei dispositivi medici (e dei filler) acquistati e sulle responsabilità del medico e...
