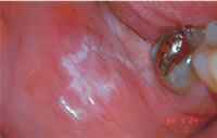
Giunge alla nostra osservazione un paziente di 30 anni inviato dal dentista curante per una lesione bianca della guancia. All’esame obiettivo si rilevava una singola placca rotondeggiante ipercheratosica, di aspetto non omogeneo di circa due centimetri di diametro della mucosa geniena destra, in corrispondenza dell’ultimo molare ricostruito con amalgama d’argento. 
La lesione era stata osservata casualmente dal dentista curante nel corso di una visita di controllo periodica circa un mese prima, risultava asintomatica e percepita dal paziente solo come area più consistente e più ruvida rispetto all’altra mucosa circostante.
L’igiene orale appariva buona, così come lo stato delle cure odontoiatriche risultava efficiente: era presente una corona fusa in lega aurea, applicata da due anni, con buona integrità e precisione dei margini del manufatto e assenza di flogosi gengivale. Il paziente non risultava affetto da patologie sistemiche, non assumeva farmaci e non era fumatore né bevitore.
Dopo aver formulato la sua ipotesi diagnostica, la confronti con la nostra diagnosi:
lesione_ mucosa_ geniena _diagnosi.pdf
GdO 2007; 8
Copyright © Riproduzione vietata-Tutti i diritti riservati
O33chirurgia-orale 15 Novembre 2023
Lo studio fornisce informazioni sull'incidenza delle diverse entità patologiche nella regione periapicale
di Lara Figini
O33endodonzia 10 Maggio 2023
Valutazione del livello apicale del sigillo canalare sul successo endodontico a distanza
di Lara Figini
O33patologia-orale 16 Dicembre 2021
In uno studio case report, pubblicato sul Journal of the American Dental Association, gli autori hanno illustrato il caso di uomo indirizzato al reparto di patologia orale e...
di Lara Figini
O33patologia-orale 15 Aprile 2021
La fibrosi sottomucosa orale, OSMF, è una malattia infiammatoria cronica e immunomediata, associata a un aumento dello stress ossidativo, il quale è attribuito a un alto tasso...
di Lara Figini
interviste 07 Settembre 2020
Lesione fortemente invalidante che a seconda della natura può essere trattata. Queste le indicazioni ed i consigli del prof. Biglioli
O33endodonzia 02 Novembre 2022
In uno studio che verrà pubblicato su Oral Surgery, Oral Medicine, Oral Pathology and Oral Radiology, gli autori hanno confrontato l'efficacia diagnostica della radiografia periapicale (PAR) con...
di Lara Figini
chirurgia-orale 15 Febbraio 2007
L’evoluzione dei processi di manifattura dei bracket ha permesso la realizzazione, mediante tecnologia MIM (Metal Injection Moulding), di una nuova base ritentiva: l’R-system®.Scopo del...
strumenti-e-materiali 15 Settembre 2006
È stato studiato l’effetto di quattro diversi stadi di preparazione superficiale, applicati comunemente alle leghe ceramico-metalliche, per analizzare le variazioni composizionali della superficie...
approfondimenti 04 Marzo 2026
Nuove indicazioni per una pratica dentale più sicura, moderna e responsabile. Focus su materiali privi di mercurio, terapie conservative e riduzione dell’impatto ambientale
normative 10 Novembre 2025
Queste le norme in vigore in Italia, quando è possibile (ancora) utilizzare l’amalgama dentale e quando è vietato rimuoverla. Da ricordare l’obbligo del separatore d’amalgama
La decisione alla COP6 Minamata di Ginevra. FDI e IADR scelgono un approccio più graduale per aiutare le popolazioni a basso reddito. Ancora più centrale il ruolo dell’odontoiatra nella decisione...
Il Ministero della salute pubblica sul proprio sito il Protocollo di intesa che disciplina la collaborazione tra il Ministero della salute e tutti gli attori coinvolti
Normative 27 Maggio 2026
Ai Ministeri competenti, oltre ai chiarimenti viene ribadito: gli studi monoprofessionali non sono coinvolti
Cronaca 27 Maggio 2026
All’Università Campus Bio-Medico di Roma il primo “Anatomy Lab” per una formazione avanzata tra pratica clinica ed eccellenza nella simulazione
Ancora per questo fine settimana la mostra fotografica “5.000 lire per un sorriso”. Mello (CAO Torino): un sorriso naturale di sano benessere che purtroppo molti danno per...
Approfondimenti 26 Maggio 2026
Le celebrazioni a Torino in occasione di una giornata di approfondimento scientifico. Sanna: “Ci sono momenti in cui fermarsi non significa rallentare, ma dare forma e senso al cammino fatto”
Normative 26 Maggio 2026
La CCEPS, conferma la sanzione all’odontoiatra che non motiva la mancata assenza alla convocazione da parte del suo Ordine
Cronaca 25 Maggio 2026
A votarlo il 53% dei Delegati. Una presidenza nel segno della continuità che si apre nel segno del dialogo, per ricucire le tensioni nate in campagna elettorale, puntando alla coesione interna
Aziende 25 Maggio 2026
Dal laboratorio IDI RDL nasce la linea premium di finalizzazione protesica, firmata dai maestri odontotecnici
Musella: auspico un futuro di collaborazione sempre più costruttiva e concreta tra le due organizzazioni sindacali per il bene della professione
Meglio Medicina e Veterinaria che coprono quasi tutti i posti. Ottolenghi: il dato positivo è aver potuto costituire fin da subito le classi, senza attendere i ritardi dovuti agli scorrimenti
Igienisti Dentali 22 Maggio 2026
Dalla 79ª edizione del Festival di Cannes, la prof.ssa Nardi osserva un cambiamento di tendenza verso la naturalezza imperfetta del sorriso dello star system, sottolineando che spesso il sorriso...
di Prof.ssa Gianna Maria Nardi
Approfondimenti 22 Maggio 2026
Monaco (FNOMCeO): ogni ora di formazione su simulazioni di processi con IA rilascerà 3 crediti ECM. A breve un corso FAD gratuito sull’Intelligenza Artificiale per medici e odontoiatri
Approfondimenti 22 Maggio 2026
Una ricerca ha analizzato come le procedure estetiche dentali minimamente invasive incidano su soddisfazione, qualità della vita orale e dimensioni psicologiche dei pazienti, includendo anche il...
Cronaca 21 Maggio 2026
A chiederlo ai ministeri competenti l’AIO Torino Cuneo che vuole in particolare chiarire se l’eventuale obbligo interessa anche agli studi mono professionali o associati
Approfondimenti 21 Maggio 2026
Presentato Check Up Odonto-Sportivo, lo applicherà in via sperimentale il Torino calcio. Le visite preventive fatte agli atleti hanno indicato criticità odontoiatriche. Prof. Testori: la salute...
