La riabilitazione di pazienti totalmente edentuli con impianti caricati immediatamente
è ben documentata in letteratura ed e da considerarsi oggi un approccio di routine per un team implantologo-protesista-odontotecnico che lavora in stretta collaborazione. La realizzazione di un ponte provvisorio immediato permette, da un lato, una miglior guarigione tissutale protesicamente guidata, dall’altro, un maggior comfort per il paziente.
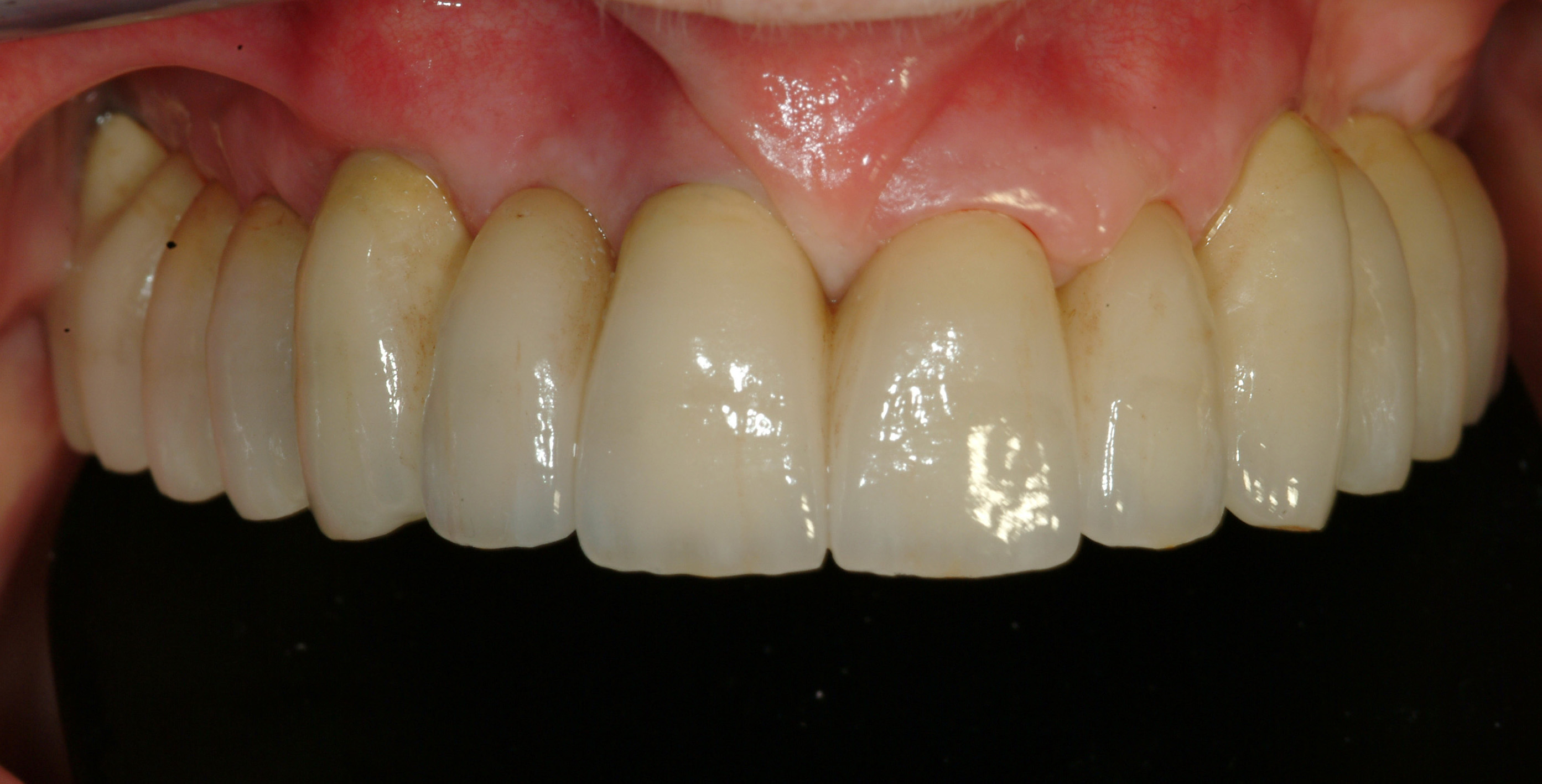
Viene descritta una tecnica di carico immediato con l’utilizzo di un provvisorio creato sulla base della ceratura diagnostica.
Immediate loading with a provisional restoration
The oral rehabilitation of total edentulous patients with the protocol of immediate loading is well documented in literature. With a bilateral fixed bridge, the surgeon can obtain a better soft tissue healing.
In this paper the Authors show a particular technique of immediate loading with a provisional restoration made on the diagnostic waxing.
Qualifiche Autori:
Università degli Studi di Milano
Facoltà di Medicina e Chirurgia
Dipartimento di Scienze Cliniche “L. Sacco”
Istituto Ortopedico Galeazzi (IRCCS)
Reparto di Implantologia e Riabilitazione Orale
Responsabile: dott. T. Testori
Italian Oral Surgery 2007; 5: 35-40
Copyright © Riproduzione vietata-Tutti i diritti riservati
La tecnica del carico immediato come, secondo ASSO, dovrebbe essere spiegata ai pazienti. Nuovo approfondimento nella sezione contro le fake-news
Caso clinico di riabilitazione implantoprotesica del dott. Maurizio Colombo di un paziente con elemento 12 compromesso
Le overdenture supportate da impianti (MO) sono diventate ormai un trattamento di routine ben accettato e con prognosi prevedibile per la riabilitazione di pazienti completamente...
di Lara Figini
implantologia 25 Marzo 2020
Caso clinico con l'utilizzo di una valida alternativa a tecniche di espansione orizzontale (GBR o Split Crest)
O33implantologia 27 Febbraio 2020
Quando si estrae un elemento dentario da sostituire con un impianto va inserito immediatamente, dopo qualche settimana o dopo qualche mese a guarigione ossea avvenuta o quasi? Le considerazioni del...
eventi 01 Febbraio 2019
Venerdì 1 febbraio – presso La Sapienza, Università di Roma, Dipartimento di scienze odontostomatologiche e maxillo-facciali – si svolgerà la giornata gratuita di...
aziende 12 Giugno 2012
Paolo BarelliRelatore della sessione dedicata a Assistenti alla Poltrona/Igienisti DentaliL'importanza della comunicazione strategica per lo studio odontoiatricoLa comunicazione è diventata la...
O33protesi 01 Aprile 2011
Obiettivi. La riabilitazione implantoprotesica nella monoedentulia mandibolare con deficit di spessore richiede un approccio rigenerativo. Tra le procedure cliniche per la risoluzione delle atrofie...
O33implantologia 01 Giugno 2010
Obiettivi. Dopo l’inserimento dell’impianto si assiste di solito a un rimodellamento dell’osso crestale. Il platform switching è una tecnica che, con l’utilizzo di un abutment di diametro...
O33strumenti-e-materiali 01 Maggio 2010
Obiettivi. Descrivere una metodica semplice, razionale ed ergonomica per la realizzazione di corone su impianti in zirconia e ceramica.Materiali e metodi. La peculiarità consiste nel realizzare in...
O33conservativa 05 Dicembre 2022
In una recente revisione, pubblicata sul Journal of Dentistry di dicembre 2022, gli autori hanno analizzato i dati raccolti da studi pubblicati a livello mondiale sulla prevalenza...
di Lara Figini
O33implantologia 05 Maggio 2021
In implantologia la posizione implantare è di fondamentale importanza sia per ottenere una buona estetica che una valida funzionalità. Inoltre, un posizionamento implantare...
di Lara Figini
Aziende 07 Maggio 2026
Aggiornamento per igienisti dentali ed odontoiatri. Venerdì 15 maggio 2026 con la prof.ssa Gianna Nardi ed il dott. Giuseppe Chiodera
Attualità 07 Maggio 2026
Dal 14 al 16 maggio, a Rimini, l’appuntamento di riferimento per tutto il settore dentale: ricco programma scientifico e mostra merceologica. Ecco le modalità per iscriversi...
Approfondimenti 07 Maggio 2026
Particolare attenzione deve essere prestata ai casi di sovradosaggio intenzionale negli adolescenti. Ecco le raccomandazioni dell’Agenzia Italiana del Farmaco
Normative 07 Maggio 2026
Per gli avocati Stefanelli e Castelli è un obbligo e non si può ignorare. Ecco di cosa si tratta e perché lo studio odontoiatrico deve attivarsi
Cronaca 06 Maggio 2026
I sindacati odontoiatrici contro due emendamenti proposti a decreto riforma professioni sanitarie. ANTLO: gli emendamenti sono già stati giudicati inammissibili, volete impedire...
O33Approfondimenti 06 Maggio 2026
In occasione delle Giornata Mondiale dell’igiene delle mani, l’ISS cerca di sensibilizzare il personale sanitario. Ecco le indicazioni per il Team odontoiatrico
L’obiettivo è garantire agli studenti un accesso precoce e privilegiato a un network professionale consolidato
Cronaca 05 Maggio 2026
La lista guidata da Corrado Bondi presenta il programma e traccia la rotta per il futuro dell’Associazione. Obiettivo: dare risposte concrete a un settore in rapida evoluzione
O33Cronaca 05 Maggio 2026
Un emendamento vuole intervenire su attività che pur essendo parte del sistema salute, risultano ancora regolate da norme frammentarie e datate. Tra le riforme quella del percorso di studi che...
Cronaca 05 Maggio 2026
Audizione sul decreto di revisione del sistema degli incentivi: richiesta piena equiparazione e misure efficaci per sostenere transizione digitale, sostenibilità e aggregazioni...
Dura la reazione del presidente nazionale CAO Andrea Senna: “occorre preservare l’autonomia e l’integrità della professione medica ed odontoiatrica”
Aziende 04 Maggio 2026
Un corso di laurea altamente professionalizzante con particolare attenzione alla pratica clinica. Scadenza iscrizioni il 13 maggio
Cronaca 30 Aprile 2026
Mancavano, anche, i protocolli di sterilizzazione e le misure periodiche riferite alla radioprotezione. Sospesa l’autorizzazione sanitaria mentre il titolare è stato segnalato all’Ordine
Approfondimenti 30 Aprile 2026
Un nuovo documento condiviso da parodontologi e odontoiatri pediatrici europei ridefinisce il modo di leggere gengiviti e parodontiti in età evolutiva
