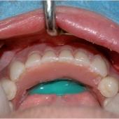
La possibilità di stabilizzare con mini-impianti protesi totali esistenti o realizzarne ex novo ove vi è scarsità di osso crestale, primariamente in senso orizzontale, può rappresentare un notevole miglioramento della qualità di vita.
Questa opzione terapeutica nella maggior parte dei casi si rivolge al paziente anziano per la relativa semplicità chirurgica e i ridotti tempi di intervento che ben si confanno a questa tipologia di pazienti. Tutto questo si associa a un costo contenuto, facendo di tale riabilitazione non certo una protesi sociale, ma sicuramente qualcosa di molto vicino a un'ampia fascia di possibili fruitori.
Si ritiene comunque importante sottolineare, come sempre, che la relativa semplicità della tecnica non deve andare a discapito di un'attenta e corretta valutazione prechirurgica e di un'altrettanto oculata chirurgia. Si ricorda la variabilità morfologica dell'osso intraforaminale e la possibilità di essere ingannati posizionando impianti al di fuori delle corticali nel tessuto molle. Particolare attenzione va posta nei confronti del pavimento della bocca. Anche se con una predilezione mandibolare, per ovvi motivi legati alla qualità ossea, questa tecnica può essere applicata anche al mascellare superiore.
Quindi, il facile mantenimento igienico, la semplicità della componentistica, insieme alla possibilità di offrire al paziente una funzione masticatoria immediata, fanno sì che vi sia un discreto campo di indicazioni a tale approccio implantoprotesico.
Copyright © Riproduzione vietata-Tutti i diritti riservati
O33implantologia 02 Febbraio 2026
Quando il disegno protesico può non solo prevenire, ma anche risolvere condizioni infiammatorie peri-implantari
O33implantologia 28 Gennaio 2026
Conservare denti strategici e adottare protocolli digitali avanzati può trasformare la gestione del full‑arch. Un caso clinico documenta risultati estetici e funzionali...
O33implantologia 13 Gennaio 2026
Risultati clinici e radiografici a 10 anni mettono in discussione il dogma dei 3 mm alla luce dei moderni design implantari con connessione conica interna
O33implantologia 16 Dicembre 2025
Uno studio italiano pubblicato su Dental Cadmos ha cercato di fornire una revisione narrativa sulle complicanze in implanto-protesi fissa, definendone classificazione, gestione e prevenzione
O33implantologia 10 Dicembre 2025
Uno studio in vitro rivela come la morfologia dell’alveolo post-estrattivo influenzi la precisione della chirurgia implantare guidata statica nella zona estetica
Cronaca 13 Febbraio 2026
Sul portale ECM attivata la nuova funzionalità per ricerche avanzate anche attraverso tag tematici
Normative 13 Febbraio 2026
AIO definisce il parere CAO Torino e FNOMCeO una svolta "epocale" che chiarisce i confini tra professione sanitaria e attività imprenditoriale
Igienisti Dentali 13 Febbraio 2026
La prof.ssa Nardi invita a studiare approfondire le conoscenze per poter scegliere tecnologie avanzate per permettere pratica clinica preventiva di precisione
di Prof.ssa Gianna Maria Nardi
Cronaca 12 Febbraio 2026
La tappa comasca conferma l’efficacia del format e l’importanza della collaborazione con i professionisti locali, fondamentali per diffondere la cultura della prevenzione tra...
Inchieste 12 Febbraio 2026
Da una ricerca pubblicata sul Journal of Dentistry emerge un forte interesse ostacolato, però, da carenze formative e barriere organizzative.
Normative 12 Febbraio 2026
La copertura degli infortuni che si verificano sia all’interno degli istituti scolastici sia durante le attività organizzate dagli stessi, copre anche traumi ed altri...
Cronaca 11 Febbraio 2026
Dall'equo compenso al rapporto con le assicurazioni fino al turismo sanitario. Incontro istituzionale tra la delegazione dell’Associazione AMOlp e i vertici dalla CAO nazionale ...
Approfondimenti 11 Febbraio 2026
Il documento definisce la diagnosi degli igienisti dentali come componente essenziale della pratica professionale e sollecita l’adozione di una terminologia standardizzata nei diversi atti di...
Approfondimenti 11 Febbraio 2026
Da oltre un anno è in vigore l’obbligo di utilizzare (solo) quella elettronica, ma nella pratica sono ancora accettate quelle cartacee. Ma fino a quando?
Cronaca 10 Febbraio 2026
Si prepara a un appuntamento ancora più ricco e qualificato confermandosi come l’evento di riferimento per il settore dentale. Dal 14 maggio a Rimini
Cronaca 10 Febbraio 2026
Pubblicato il bando sia per odontoiatria che per medicina. Ad aprile le prove in modalità home-based: 60 le domanda 60 minuti il tempo a disposizione
O33Approfondimenti 10 Febbraio 2026
Al suo posto si vorrebbe montare una poltrona per medicina estetica, non volendo effettuare cure odontoiatriche. Questo il parere della CAO di Torino
Cronaca 09 Febbraio 2026
Il contratto sarà di collaborazione annuale in regime libero professionale. Le domande entro il 16 febbraio 2026
Approfondimenti 09 Febbraio 2026
Una ricerca pubblicata sull’International Endodontic Journal dimostrerebbe il ruolo, benefico, della caffeina in condizioni infiammatorie orali simili alla parodontite e all’apical...
