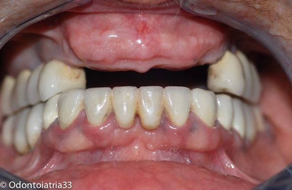
Il caso clinico che segue tratta di paziente donna di 67 anni, collaborante, con anamnesi positiva solo per ipertensione arteriosa (in terapia e ben compensata), con un discreto controllo dell'igiene orale, non fumatrice. La paziente è giunta alla nostra osservazione, nonostante un'estetica ancora accettabile, con mobilità del vecchio lavoro protesico,con problematiche parodontali a carico degli elementi portanti il ponte e con frattura radicolare dell'elemento 12.
Si è deciso pertanto di procedere all'estrazione degli elementi dentari 13-12-11-21-23 riabilitando per due mesi la paziente con un provvisorio mobile in acetato. Contrariamente a quanto succede normalmente dove la problematica maggiore con cui fare i conti è il quantitativo osseo ridotto e di conseguenza l'aumentata distanza interarcata, in questo caso ci siamo trovati a dover affrontare un ridotto spazio interarcata con rapporti intermascellari sfavorevoli in senso antero-posteriore oltre che cranio-caudale.
Valutato il quadro clinico e radiografico abbiamo ritenuto il caso di trattare la paziente (che non voleva rimettere mano alle riabilitazioni posteriori e inferiori eseguite presso un altro studio poco addietro), con una chirurgia preprotesica di rimodellamento osseo,contestualmente all'inserimento degli impianti, mediante frese carotatrici, che ci consentissero di prelevare osso prezioso da posizionare eventualmente nelle aree deficitarie, e frese rotanti a rosetta in tungsteno per rifinire i bordi; il tutto sotto abbondante irrigazione di fisiologica sterile al fine di scongiurare un surriscaldamento eccessivo della struttura ossea e quindi un suo critico e non prevedibile riassorbimento. Sono stati fatti scarichi di rilascio laterali molto corti, l'incisione è stata di tipo crestale lievemente palatale al fine di mantenere il massimo della vascolarizzazione e struttura gengivale aderente. La paziente viene trattata nel post-operatorio con terapia antibiotica iniziata dalla sera prima dell'intervento ( 1gr di amoxicillina e acido clavulanico ogni 12 ore per 6 giorni) con sciacqui con chlorexidina digluconato 0,12% 3 volte al dì per 10 giorni, Arnica Montana in compresse sublinguali 5cps 3 volte al dì da tre giorni prima a tre giorni dopo l'intervento.
Trattandosi di guidare al contrario la morfologia ossea tramite rimodellamento abbiamo cercato di trovare un equilibrio fra necessaria riduzione ossea in senso volumetrico antero-posteriore /cranio-caudale e perdita di supporto sul labbro superiore con appiattimento del profilo, posizionando gli impianti un po' più vestibolarizzati e profondi,nonchè lavorando sui profili gengivali mediante provvisori a condizionamento tissutale.
I primi provvisori avvitati sono stati posizionati dopo 6 settimane dall'intervento chirurgico di inserimento implantare e rimodellamento. I provvisori avevano ancora per ragioni tecniche un rapporto di overjet da correggere poi con i definitivi.
Dopo 5 mesi di provvisori avvitati man a mano modificati la paziente è stata protesizzata con definitivi in zirconio e ceramica stratificata.
Considerazioni cliniche: in tempi dove la chirurgia implantare computer guidata (CAD /CAM) ci offre un valido aiuto nella gestione di casi più complessi risulta prioritario impiegare tale metodica laddove sia indicata e possibile; la variabile discriminante che ne limita la possibilità di utilizzo risulta però ancora essere la necessità di modificare volumetricamente la morfologia ossea, sia in senso rigenerativo che riduttivo come in questo caso dove ancora la tecnica tradizionale protesicamente guidata e ben programmata può darci buone risorse.
Nota
Chirurgia: Erika Figini
Protesi: Manuela Grandi
Laboratorio odontotecnico: Figini Mario e Blu Dental
Copyright © Riproduzione vietata-Tutti i diritti riservati
O33implantologia 21 Aprile 2026
Obiettivi della revisione pubblicata su Frontiers in Oral Health era identificare i principali fattori associati al fallimento degli impianti dentali e analizzare le metodiche...
O33implantologia 25 Marzo 2026
Uno studio analizza come la presenza di un impianto possa influenzare, nel tempo, il livello osseo e la sopravvivenza dei denti naturali vicini
O33implantologia 17 Marzo 2026
Uno studio analizza come la scelta dell’abutment, integrata nella pianificazione digitale, orienti la posizione dell’impianto rispetto ai parametri anatomici e restaurativi
O33implantologia 02 Febbraio 2026
Quando il disegno protesico può non solo prevenire, ma anche risolvere condizioni infiammatorie peri-implantari
O33implantologia 28 Gennaio 2026
Conservare denti strategici e adottare protocolli digitali avanzati può trasformare la gestione del full‑arch. Un caso clinico documenta risultati estetici e funzionali...
Aziende 07 Maggio 2026
Aggiornamento per igienisti dentali ed odontoiatri. Venerdì 15 maggio 2026 con la prof.ssa Gianna Nardi ed il dott. Giuseppe Chiodera
Cronaca 06 Maggio 2026
I sindacati odontoiatrici contro due emendamenti proposti a decreto riforma professioni sanitarie. ANTLO: gli emendamenti sono già stati giudicati inammissibili, volete impedire...
O33Approfondimenti 06 Maggio 2026
In occasione delle Giornata Mondiale dell’igiene delle mani, l’ISS cerca di sensibilizzare il personale sanitario. Ecco le indicazioni per il Team odontoiatrico
L’obiettivo è garantire agli studenti un accesso precoce e privilegiato a un network professionale consolidato
Cronaca 05 Maggio 2026
La lista guidata da Corrado Bondi presenta il programma e traccia la rotta per il futuro dell’Associazione. Obiettivo: dare risposte concrete a un settore in rapida evoluzione
O33Cronaca 05 Maggio 2026
Un emendamento vuole intervenire su attività che pur essendo parte del sistema salute, risultano ancora regolate da norme frammentarie e datate. Tra le riforme quella del percorso di studi che...
Cronaca 05 Maggio 2026
Audizione sul decreto di revisione del sistema degli incentivi: richiesta piena equiparazione e misure efficaci per sostenere transizione digitale, sostenibilità e aggregazioni...
Dura la reazione del presidente nazionale CAO Andrea Senna: “occorre preservare l’autonomia e l’integrità della professione medica ed odontoiatrica”
Aziende 04 Maggio 2026
Un corso di laurea altamente professionalizzante con particolare attenzione alla pratica clinica. Scadenza iscrizioni il 13 maggio
I Giudici ribadiscono che il reato di esercizio abusivo non richiede la verifica della qualità della prestazione resa e il diploma di Laurea deve essere riconosciuto anche in Italia
Cronaca 30 Aprile 2026
Mancavano, anche, i protocolli di sterilizzazione e le misure periodiche riferite alla radioprotezione. Sospesa l’autorizzazione sanitaria mentre il titolare è stato segnalato all’Ordine
Approfondimenti 30 Aprile 2026
Un nuovo documento condiviso da parodontologi e odontoiatri pediatrici europei ridefinisce il modo di leggere gengiviti e parodontiti in età evolutiva
Da 5 a 120mila euro per sostenere il lavoro di medici, dentisti e studenti. Il bando prevede diverse linee di intervento, ecco di cosa si tratta e come richiederlo
Cronaca 29 Aprile 2026
Senna (CAO): l’obiettivo è realizzare nel 2027 un nuovo Codice deontologico sempre più aderente ai mutamenti della professione di medico ed odontoiatra, fedele ai valori “antichi”
