L'amelogenesi imperfetta è una manifestazione patologica congenita a carico dello smalto che comporta alterazioni quantitative ( mancanze, depressioni ) e qualitative dello smalto ( smalto meno resistente alle sollecitazioni masticatorie che tende a sfaldarsi ).
L'eziopatogenesi è da ricercare in un'alterazione dei processi di mineralizzazione della matrice dello smalto durante la sua fase formativa e la prevalenza della manifestazione è di 1:700 fino a 1:14,000 con un coinvolgimento, in genere, di tutto lo spessore dello smalto e della maggior parte degli elementi dentali. ( 1 )
Il Case-Report in questione descrive il trattamento di una giovane paziente che si presenta all'osservazione clinica a causa del disfacimento superficiale della superficie masticatoria del secondo molare inferiore di destra. ( 4.7 )
La peculiarità di questo caso clinico risiede nel fatto che l'amelogenesi imperfetta ha interessato un solo elemento dentale del cavo orale e solo parzialmente lo spessore dello smalto del dente in questione.
All'indagine medica anamnestica la paziente non riporta malattie sistemiche, nessuna assunzione costante di farmaci e in buono stato di salute generale.
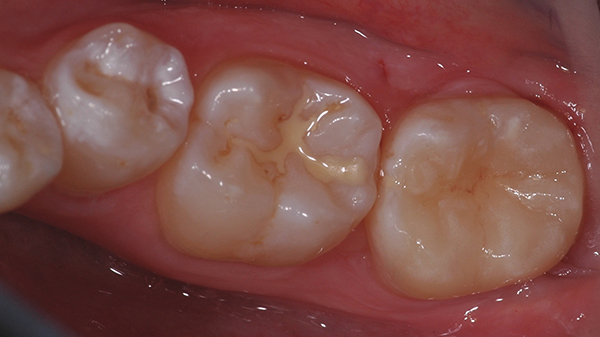
All'anamnesi dentale la paziente riferisce che l'elemento dentale in posizione 4.7 si è sempre presentato, rispetto agli altri elementi dentali dei settori posteriori, di colore più scuro tendente al brunastro ma che comunque aveva mantenuto, sostanzialmente, nel tempo le proprie caratteristiche anatomiche e la funzione masticatoria originale.
All'esame obiettivo, l'elemento dentale in questione presenta un'abbondante perdita di sostanza dentale interessante quasi interamente la superficie occlusale e vestibolare ed evidenzia un colore marrone-brunastro nelle parti profonde disgregate mentre un aspetto di smalto normale nella porzione mesiale del dente.
La consistenza al sondaggio di tale tessuto alterato nella colorazione appare dura e non sono presenti segni di rammollimento dovuto all'instaurarsi di patologia cariosa ma piuttosto un progressivo sfaldamento dovuto a distacchi coesivi di porzioni di smalto affetto da amelogenesi imperfetta congenita.
La patologia non ha interessato in toto tutto lo smalto dell'elemento dentario.
Le manovre strumentali per valutare il mantenimento dell'innervazione sensitiva dell'organo pulpo-dentinale hanno dato esito positivo in seguito alla stimolazione con sostanza refrigerante ( test del freddo ).
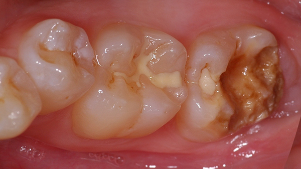
Dall'esame clinico condotto l'obiettivo principale è rimuovere le aree ancora presenti di smalto colpito dall'amelogenesi imperfetta, esporre tutto lo smalto normale presente e cercare di mantenere la vitalità dell'elemento dentale in questione.
La messa in opera delle manovre odontoiatriche permette di raggiungere gli obiettivi sopraccitati ed esporre un contorno periferico di smalto che appariva sano e normale.
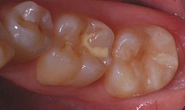
Alla luce di quest'aspetto ( smalto sano e normale periferico ) l'idea riabilitativa dell'elemento 4.7 è il confezionamento di un restauro parziale a ricopertura cuspidale in materiale ceramico e cementato con tecniche adesive ai tessuti dentali della cavità preparata.
E' proposto alla paziente il piano di trattamento descritto e nel secondo appuntamento si è provveduto, previa anestesia tronculare del ramo mandibolare di destra, all'isolamento del campo operatorio mediante posizionamento della diga di gomma.
Si è proceduto attraverso frese diamantate sferiche e cilindriche ad alto-medio grit ( 107- 151 µm) montate su moltiplicatore di giri a rimuovere tutto lo smalto affetto da amelogenesi imperfetta e esporre il tessuto dentale normale.
Alla fine della procedura di preparazione dentale la cavità evidenzia ampie aree di dentina esposta ma altresì un contorno ben rappresentato di smalto sano e normale suscettibile al trattamento con procedure adesive smalto-dentinali.
La cavità si presenta abbastanza ampia e il restauro previsto dovrebbe ricostituire tutta la superficie masticatoria, le cuspidi di stampo vestibolari, la cresta inter prossimale distale e parte della cuspide disto-linguale.
Le procedure cliniche sono state indirizzate a isolare l'organo pulpo-dentinale mediante la messa in opera del sigillo immediato della dentina esposta "immediate dentin saling" ( 2 ) utilizzando allo scopo un sistema adesivo mild self-etch a due passaggi al quale ha fatto seguito foto polimerizzazione dello stesso secondo le indicazioni fornite dal fabbricante.
La rilevazione dell'impronta della cavità e dell'arcata dentaria è condotta mediante polietere da impronta e la cavità preparata ha subito temporizzazione per mezzo di materiale da otturazione provvisoria a base resinosa.
La rilevazione delle caratteristiche cromatiche dei denti adiacenti è avvenuta con l'ausilio di scala cromatica vita.
Un consulto con l'odontotecnico il giorno successivo, allo sviluppo dell'impronta, ha permesso di decidere la natura del materiale ceramico con il quale realizzare il restauro.
In considerazione dell'estensione del restauro, delle notevoli sollecitazioni meccaniche alle quali l'elemento dentale è sottoposto e alle caratteristiche cromatiche dei denti vicini si è scelto per realizzare il restauro con una ceramica vetrosa a base di di-silicato di Litio manipolata mediante presso-fusione.
La settimana successiva alla preparazione dentale è stata eseguita una prova del manufatto per verificare la precisione di adattamento e la fedeltà del colore e quindi riposizionata l'otturazione provvisoria.
Nella seduta di cementazione adesiva del manufatto sì è ricontrollato l'adattamento del manufatto e proceduto al condizionamento della superficie di adesione della ceramica per renderla suscettibile alle procedure di adesione smalto-dentinale.
Queste manovre hanno previsto l'applicazione di acido fluoridrico al 9% per 15 secondi, un abbondante risciacquo della superficie, l'asciugatura mediante getto di aria e la disidratazione delle micro-irregolarità create mediante solvente a base di alcol.
Il razionale di adesione del manufatto ceramico ai tessuti dentali si basa proprio sulla creazione, mediante mordenzatura con acido fluoridrico, di micro-irregolarità entro le quali può infiltrarsi il sistema adesivo ( bonding ) , stabilendo una connessione meccanica con il manufatto dopo i procedimenti di polimerizzazione.
Il trattamento superficiale del di-silicato di Litio mordenzato si avvale però anche di un legame chimico che si può instaurare tra la parte vetrosa della ceramica e l'agente adesivo sfruttando le proprietà di un silano.
I silani sono molecole capaci di legare a un'estremità i costituenti della matrice vetrosa della ceramica e dall'altra le molecole metacriliche dei sistemi adesivi e delle resine composite.
La soluzione volatile a base di silano è applicata abbondantemente sulla superficie della ceramica mordenzata e lasciata evaporare spontaneamente per alcuni minuti fino a quando la superficie stessa non appare debolmente lucida.
Si è proceduto all'isolamento del campo operatorio senza praticare nessun tipo di anestesia avendo già sigillato i tubuli dentinali mediante applicazione della procedura "immediate dentin sealing" e quindi applicato le procedure adesive ai tessuti dentali.
Lo smalto sano esposto è stato pre-mordenzato con acido ortofosforico " H3PO4" al 37% per 15 secondi al quale ha fatto seguito lavaggio e asciugatura.
La cavità in toto è stata trattata, dal punto di vista adesivo, mediante un sistema adesivo mild self-etch a due passaggi con un significato di rinnovare, sulla dentina, la superficie di adesione già creata dal sigillo post preparazione e creare lo strato ibrido smalto / resina a livello dello smalto pre-mordenzato.
Il sistema adesivo non ha subito polimerizzazione per facilitare l'inserzione del manufatto e non creare spessori, tuttavia si è aggiunto un attivatore duale di polimerizzazione all'interno della soluzione "bonding".
L'accoppiamento tra la cavità e il manufatto è avvenuto mediante una resina composita convenzionale scaldata in un bagno dedicato alla temperatura di 50 C° ,circa, al fine di renderla meno viscosa e migliorare la polimerizzazione del composito stesso ( 3 )
Alla rimozione degli eccessi di composito ha fatto seguito la fotopolimerizzazione ( attraverso il restauro ) dell'accoppiante resinoso e del sistema adesivo già attivato impiegando una lampada a Led con un programma ad alta intensità luminosa e operando un ciclo di almeno 60 secondi per ogni superficie del restauro.
Un ultimo ciclo di polimerizzazione è stato eseguito proteggendo dall'ossigeno ambientale il composito dei margini di chiusura mediante impiego di un gel a base di glicerina idrosolubile.
Sono seguiti i procedimenti di rifinitura, controllo occlusale dei contatti e quindi la dimissione della paziente.
Si è rivista la paziente una settimana dopo i procedimenti di cementazione per un controllo e per verificare la fedeltà delle scelte cromatiche stabilite che, inevitabilmente, apparivano alterate dopo la rimozione della diga a causa della disidratazione dello smalto periferico e dei denti contigui.
BIBLIOGRAFIA
1) Lundgren GP., Karsten A., Dahllof G.: " Oral health-related quality of life before and after crown therapy in young patients with amelogenesis imperfecta" Health and Quality of Life Outcomes 2015;13:197. doi: 10.1186/s12955-015-0393-3.
2) Magne P., So WS., Cascione D.: "Immediate dentin sealing supports delayed restoration placement " J. Prosthet. Dent. 2007; 98: 166-174
3) Acquaviva PA., Cerutti F., Adami G., Gagliani M., Ferrari M., Gherlone E., Cerutti A.: "Degree of conversion of three composite materials employed in the adhesive cementation of indirect restorations: A micro-Raman analysis. J Dent. 2009; 37: 610-615
Copyright © Riproduzione vietata-Tutti i diritti riservati
O33conservativa 23 Aprile 2026
Pubblicato su IEJ un razionale con l’obiettivo di definire le raccomandazioni cliniche basate sulle evidenze per la gestione delle carie profonde ed estremamente profonde nei denti permanenti con...
O33conservativa 10 Aprile 2026
Una ricerca ha valutato l’impiego di un cemento a base di silicato di calcio come sostituto dentinale nei molari trattati con pulpotomia completa
O33conservativa 09 Aprile 2026
Dopo 15 anni di osservazione clinica, il Radboud Tooth Wear Project fornisce un corpo di evidenze unico a sostegno di una gestione patient-centred e minimamente invasiva dell’usura dentale
O33conservativa 31 Marzo 2026
Una ricerca ha indagato se entrambe le soluzioni mostrassero simile sopravvivenza e comportamento clinico a lungo termine
O33conservativa 30 Marzo 2026
Studio clinico mirato a valutare un approccio micro‑invasivo per affrontare ipomineralizzazioni incisali in una paziente di 3 anni, preservando struttura dentale...
interviste 07 Novembre 2016
"Clinica e ricerca in odontoiatria restaurativa - l'innovazione": è il titolo del Convegno organizzato dal gruppo di odontoiatria restaurativa che opera presso il Servizio di...
Studiato per essere utilizzato con tutti i metodi di mordenzatura e per tutte le indicazioni cliniche dirette ed indirette, Prime&Bond active si distingue per la brevettata tecnologia...
approfondimenti 16 Maggio 2016
Un odontoiatra che si ritiene mediamente più bravo degli altri dentisti, che non sa quanto ha investito per la sua professione negli ultimi tempi e che teme principalmente la concorrenza dei...
cronaca 09 Marzo 2016
"Secondo la World Health Organization (W.H.O.), la patologia cariosa rappresenta una delle affezioni più diffuse tanto da essere considerata una malattia sociale con alti tassi di incidenza in...
approfondimenti 30 Luglio 2025
Grazie al libro del dott. Franco Iacono protocolli, strumenti, casi clinici per poter scegliere, nella quotidiana pratica endodontica, la metodologia di utilizzo più corretta. Scarica l'estratto
O33conservativa 08 Novembre 2023
Lo studio in vitro presentato valuta la capacità di riempimento canalare, mediante due diverse tecniche di otturazione a confronto, in denti stampati in 3D con riassorbimento...
di Lara Figini
O33endodonzia 10 Maggio 2023
Valutazione del livello apicale del sigillo canalare sul successo endodontico a distanza
di Lara Figini
A Lamezia Terme un odontoiatra esercitava da anni in uno studio privo di autorizzazioni. Durante i controlli trovati anche farmaci scaduti, l’odontoiatra è stato denunciato, lo studio sequestrato
L’OMCeO Torino lancia l’allarme dei sanitari con titolo di laurea estero riconosciuti solo dalla Regione che però possono esercitare, la CAO chiede di escludere gli odontoiatri dalla...
Approfondimenti 28 Aprile 2026
Il presidente nazionale AIO sottolinea: la sicurezza negli studi non è un obbligo ma una responsabilità clinica
Sicurezza, efficienza e valore legale per documenti e consensi, uno strumento semplice da usare che può semplificare ed ottimizzare la gestione burocratica dello studio
Interviste 27 Aprile 2026
Abbiamo celebrato la ricorrenza con l’attuale presidente ANDI Carlo Ghirlanda, attraverso un racconto personale che guarda al passato più recente ma anche al futuro dell’Associazione.
Le norme ma anche e soprattutto le regole dal punto di vista della deontologia. Ne abbiamo parlato con il presidente CAO di Catanzaro che ha posto (sui social) la questione
Cronaca 27 Aprile 2026
A Pordenone, Monfalcone e Gemona è in programma un corso per diventare Assistente di studio odontoiatrico (ASO), gratuito per i disoccupati. Domande entro il 7 maggio
Approfondimenti 24 Aprile 2026
Nuovi standard su sicurezza e uso clinico dopo quasi dieci anni dall’ultima revisione. Aggiornati criteri clinici, documentazione e requisiti formativi per la pratica odontoiatrica
Igienisti Dentali 24 Aprile 2026
La prof.ssa Nardi sottolinea quanto nella pratica clinica di prevenzione, l’evoluzione delle tecnologie ha profondamente migliorato le procedure di decontaminazione, rendendole...
di Prof.ssa Gianna Maria Nardi
Cronaca 24 Aprile 2026
Anelli e Senna scrivono ai Ministri dell’Università, Salute ed Economia per sollecitare l’emanazione del decreto attuativo
Cronaca 24 Aprile 2026
Utile di 700 milioni nel 2025: gli investimenti compensano la gobba pensionistica che sta registrando un aumento dei pensionati
Si è discusso di riforma del semestre aperto e di formazione specialistica. Tra i componenti dei tavoli, il prof. Gherlone come rappresentante della CRUI che porterà la sua competenza, oltre che in...
O33Normative 23 Aprile 2026
Le novità introdotte dalla delibera n. 4/2026 della Commissione ECM, ecco il criterio ed il numero di crediti che vengono assegnati
O33Normative 23 Aprile 2026
Tra le misure previste rientra l’adozione di procedure chiare e sicure per l’utilizzo e lo smaltimento di dispositivi medici taglienti e dei rifiuti contaminati
