La presa dell'impronta rappresenta sempre una fase delicata del percorso in protesi fissa e amovibile; numerose tecniche e vari materiali sono stati esaminati con alterni risultati. Lo scopo del presente lavoro è quello di mostrare un nuovo protocollo per la rilevazione delle impronte in polivinilsilossano mediante il sistema Aquasil Ultimate.
La tecnica Double Step Reverse vuole superare il limite della velocità di esecuzione, richiesta dai polivinilsilossani, nella modalità applicativa della Putty-Wash 1-step bicomponente e tutti i problemi conseguenti a una affrettata rilevazione della stessa.
Materiali e Metodi
Per meglio evidenziare i vantaggi di questa tecnica, viene descritta la rilevazione di impronta in polivinilsilossano su 16-17 - con linea di finitura iuxta gengivale - mediante il sistema Aquasil Ultimate costituito da manipolo ad aria compressa per la miscelazione e l'erogazione di Aquasil Ultimate Wash sui monconi e Aquasill Ultimate Tray come materiale per il portaimpronte. La Double Step Reverse prevede che venga soffiato il materiale wash nel solco e sulle preparazioni, lasciato polimerizzare. Solo ora si riempie il portaimpronte del commercio con il materiale tray e lo si posiziona. A polimerizzazione avvenuta si disinserisce l'impronta.
Risultati
Nel rispetto dell'assoluta accuratezza dell'impronta, il nuovo protocollo permette anche in presenza di più monconi di rilevare un'impronta senza che il professionista debba tener conto della maturazione dei polivinilsilossani per il corretto abbinamento di wash e tray. La Double Step Reverse dà agio al professionista di asciugare e coprire di materiale un moncone alla volta in sequenza controllando la presenza di eventuali gemizi, nonché la presenza di saliva. A ciò si aggiunge un maggior confort del paziente dovuto all'utilizzo di materiali meno fluidi che non rischiano di colare in gola al paziente se in eccesso e al minor tempo di permanenza in bocca del tray (3 min).
Conclusioni
Il protocollo DSR è diventato per noi lo statndard in ogni situazione in quanto ci permette un perfetto controllo del campo, la possibilità di intervenire in caso di particolari problemi (gemizi, fluidi crevicolari, presenza di saliva, ...), la drastica riduzione delle bolle presenti sul fine preparazione spesso legate alla modalità di erogazione del wash attraverso la siringa per elastomeri, la scomparsa delle stirature a V che si manifestano per un ritardo nel posizionamento del materiale di spinta (wash con reticolazione avanzata e quindi in fase plastica avanzata rispetto al tray in fase viscosa) oppure dovute ad un non corretto posizionamento del porta impronte (non parallelo alla superficie occlusale o calzato troppo velocemente). A ciò si aggiunga che abbiamo notato una maggior collaborazione da parte dal paziente ed una maggior tranquillità anche durante i 3 minuti in cui il portaimpronte occupo il piccolo spazio della bocca.
Descrizione del caso
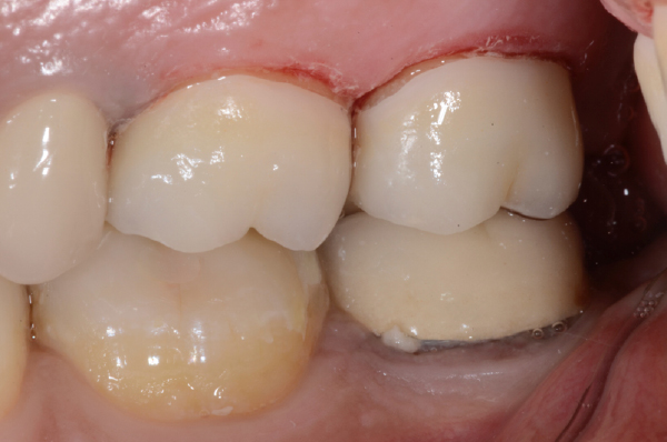
Si presenta alla nostra osservazione una paziente con evidenti usure degli elementi diatorici superiori ed in particolare con 16 e 17 trattati endodonticamente. Il 17 si presenta massivamente ricostruito in materiale composito ed il 16 manifesta la frattura della cuspide disto-vestibolare, per cui necessitano di restauro protesico (Fig. 1).
Decidiamo di comune accordo con la paziente di protesizzare i due elementi 16 e 17 realizzando due corone con sottostruttura in zirconio IPS e.max ZIRCAD (Ivoclar) e sovrastruttura in Ceramica stratificata con linea di finitura justa- gengivale. Vista l'altezza del moncone residuo che garantiva stabilità e ritenzione al restauro stesso, si è preferita una finitura del moncone juxta-sovra gengivale in modo tale da gestire al meglio: la rifinitura marginale, l'impronta, il check del margine di chiusura, la cementazione e la rimozione del cemento in eccesso.
Prepariamo i due elementi dentali con linea di finitura juxta-gengivale e poniamo un filo per evidenziare il fine preparazione (Fig. 2).
Realizziamo e proviamo un provvisorio mediante ribasatura diretta di un provvisorio guscio eseguito in laboratorio (Fig. 4-5).
Posizioniamo un filo di retrazione (Ultrapack OO , Ultradent) nel solco (Fig.6) e senza rimuovere il filo stesso soffiamo Aquasil Ultimate Wash nel solco e sul corpo delle preparazioni lasciandolo polimerizzare per 3 minuti come indicato dal produttore (Fig. 7a).
A polimerizzazione avvenuta (Fig 7b), si è calzato lentamente il portaimpronte (del commercio in acciaio liscio con bordo ritentivo predisposto con adesivo per PVS) riempito con Aquasil Ultimate Tray a raccordare e raccogliere il materiale di prima impronta.
Dopo 3 minuti di polimerizzazione, come indicato dal produttore, si è disinserita l'impronta (Fig. 8), la si è controllata sotto microscopio ottico LEICA M400 a 40 X (Fig. 9) alla fine è stata trasmessa al laboratorio.
Dopo le fasi di lavoro presso il laboratorio è stato controllata la chiusura delle sottostrutture sui rispettivi monconi in gesso con microscopio ottico coadiuvato dell'utilizzo di file endodontici da 06 a 150 secondo standard ISO per poter valutare meglio l'ampiezza di eventuali gap (Fig. 10-11-12-13).
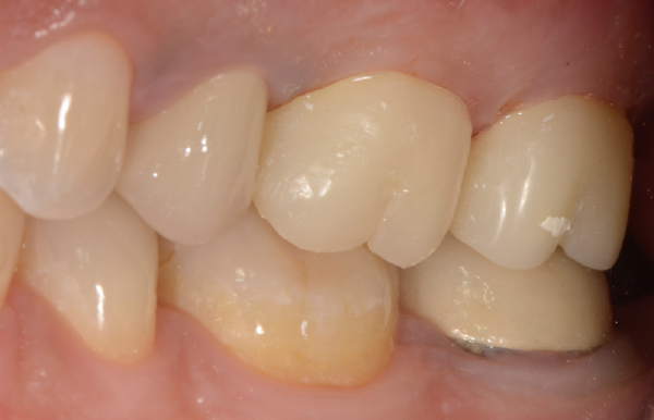
Nello stesso modo si è controllato il margine di chiusura in bocca alla paziente aggiungendo la verifica con Fit Cehcker Blue GC prima di inviare nuovamente le sottostrutture al laboratorio per la ceramizzazione. Le corone finite sono state nuovamente controllate lungo il margine di chiusura e, verificata la mancanza di gap superiori a 120 µm ed una estensione massima del gap più grosso pari o inferiore ad 1/10 dell'intero bordo per la corona 16, si è provveduto alla cementazione sotto diga di ogni singola corona (Fig. da 14 a 25).
Copyright © Riproduzione vietata-Tutti i diritti riservati
prodotti 07 Dicembre 2017
Dentsply Sirona, mantenendo la sua lunga tradizione di offrire sempre le innovazioni più significative per il mercato odontoiatrico, è orgogliosa di presentare il nuovo Aquasil® Ultra+...
prodotti 15 Febbraio 2007
Aquasil Ultra™ è un materiale da impronta che, grazie alla sua esclusiva struttura quadrifunzionale (QHS) e a un surfattante di nuova generazione, permette di rilevare impronte precise anche...
conservativa 14 Febbraio 2017
Il trattamento delle lesioni cariose è parte dell'attività quotidiana della maggior parte dei dentisti. Ci sono però ampie variazioni, sia riguardo ai criteri diagnostici che...
approfondimenti 27 Gennaio 2017
Dental Cadmos, una delle più "vecchie" riviste odontoiatriche scientifiche italiane con i suoi ottant'anni di vita (nella foto una copertina del 1970), è stata indicizzata su Web of...
cronaca 27 Gennaio 2017
Di anticipazioni e promesse sul Ddl Concorrenza in questi mesi ne abbiamo raccolte molte ma la realtà vede il testo fermo in Commissione al Senato da alcuni mesi. Ora, secondo fonti di stampa...
implantologia 06 Dicembre 2016
Da tempo la comunità scientifica si sta chiedendo se il diabete non ben controllato comporti una maggiore probabilità di fallimento implantare. Una recente metanalisi, condotta da...
cronaca 06 Dicembre 2016
Nei giorni 2 e 3 Dicembre, presso l'Università D'Annunzio di Chieti, si è svolta l'ultima manifestazione congressuale regionale 2016 della SIOI. Il titolo del Congresso, "Il paziente...
O33strumenti-e-materiali 09 Novembre 2022
In una revisione della letteratura, pubblicata dal British Dental Journal, gli autori hanno rivisto la corrente conoscenza sulle reazioni ai comuni materiali dentali, compreso il ruolo...
di Lara Figini
O33chirurgia-orale 27 Luglio 2020
L’avulsione del dente provoca un riassorbimento dell’osso alveolare sia in senso verticale che orizzontale con un rimodellamento volumetrico spontaneo dei tessuti duri e...
O33ortodonzia-e-gnatologia 09 Settembre 2019
Dopo il completamento del trattamento ortodontico, uno degli obiettivi più importanti è il mantenimento del risultato finale. È stato riferito che circa il 70% dei casi...
Utilizzo di una procedura minimamente invasiva, ricerca italiana pubblicata all'estero
Secondo una ricerca, la stampa DIW potrebbe diventare una reale alternativa clinica alla fresatura Cad/Cam della zirconia, offrendo una produzione più sostenibile ed economicamente vantaggiosa
Approfondimenti 17 Aprile 2026
Disponibile il nuovo volume di Ezio Bruna, Andrea Fabianelli e Marco Corrias. Una guida metodologica dalla prima visita alla realizzazione finale del dispositivo protesico
Approfondimenti 17 Aprile 2026
Uno studio pubblicato su Dentistry Journal ha confrontato il modo in cui il caries risk management viene applicato nella pratica quotidiana in alcuni paesi europei
Nel suo editoriale su Dental Cadmos, il direttore scientifico prof. Lorenzo Breschi propone una serie di riflessioni sulle tante direzioni che l’odontoiatria italiana sta...
O33Inchieste 17 Aprile 2026
Una ricerca ha messo a confronto i costi delle protesi totali realizzate con workflow digitali e quelli delle tecniche tradizionali in Svizzera, Stati Uniti, Giappone e Italia
L’ASL Salerno: L’obiettivo è garantire l’accesso alle cure odontoiatriche anche a chi, per condizioni economiche o logistiche, fatica a rivolgersi ai servizi tradizionali ...
Cronaca 16 Aprile 2026
Accedendo alla propria Area riservata sul sito ENPAM è possibile scaricare la Certificazione degli oneri deducibili e la Certificazione Unica
O33Approfondimenti 16 Aprile 2026
Su Dental Cadmos pubblicato un consensus con indicazioni e consigli sulla documentazione fotografica in medicina estetica odontoiatrica del viso
Aziende 16 Aprile 2026
Gli studi dentistici italiani hanno 300.000 euro nel gestionale, centinaia di vecchissimi pazienti già acquisiti aspettano che qualcuno li richiami. I consigli di DentalLead ...
Nuovi servizi extra Lea e innalzamento delle soglie Isee, attivazione di 6 pronto soccorso odontoiatrico, più assistenza per pazienti con disabilità e giovani
Cronaca 15 Aprile 2026
Senna: servono regole nuove per poter meglio tutelare i cittadini. Come CAO continuiamo a impegnarci per fare in modo che le STP siano l’unica forma societaria per esercitare...
O33Approfondimenti 15 Aprile 2026
Lo SPID sta diventando a pagamento, l’alternativa, gratuita, si chiama Carta d’Identità Elettronica. Ecco come funziona e come attivarla
Musella: un progetto ambizioso che mira a formare una nuova generazione di odontoiatri, capaci di coniugare competenza tecnica, responsabilità etica e apertura al cambiamento ...
Il presidente Allegri presenta il Congresso di Maggio e riflette sull’anniversario numero 40 dell’Accademia Italiana di Odontoiatria Conservativa e Restaurativa
Le precisazioni della Presidente IDEA in merito all’aggiornamento obbligatorio ASO sottolineando i tanti punti ancora non chiari. Abbondanza: “Serve riattivare al più presto...
