La comunicazione tra paziente ed operatore è fondamentale nel mondo odontoiatrico, soprattutto nei casi che prevedono l'esecuzione di restauri estetici nel settore anteriore. L'operatore deve essere in grado comprendere il volere del paziente, e a sua volta esplicare e far comprendere al paziente le proprie scelte terapeutiche. Il problema, però, è sempre stato trovare un linguaggio che potesse essere intuitivo e poco invasivo.
Con il progredire delle tecnologie e l'introduzione della fotografia digitale si è riuscito, sempre più, a risolvere i problemi di comunicazione rendendo partecipe e mostrando direttamente al paziente i propri problemi e discutendo insieme il piano di trattamento.
In questi ultimi anni sono stati introdotti programmi e protocolli digitali in grado di agevolare ancor di più la comunicazione operatore-paziente mostrando loro un immagine rappresentante una previsione del risultato finale del trattamento a cui saranno sottoposti.
Uno di questi strumenti è l'Aesthetic Digital Smile Design ( ADSD ) che, attraverso l'uso di immagini elaborate, fa vedere al paziente, sul monitor digitale, le fotografie prima e dopo il trattamento proposto dall'odontoiatra, creando quindi una maggior dinamicità e chiarezza nel dialogo tra i due.
Materiali e Metodi
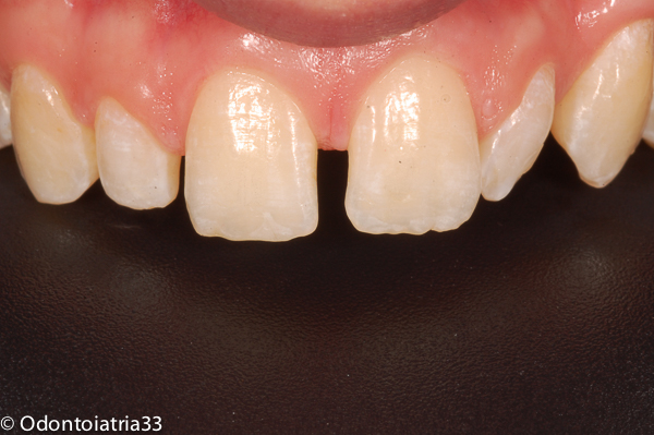
La paziente C.M., di anni 19, si è presentata presso il Reparto di Conservativa della Dental School del Lingotto di Torino in seguito al trattamento ortodontico eseguito presso la stessa struttura. La paziente ha cominciato la terapia ortodontica per un open-bite da abitudini viziate (suzione pollice con inclusione dell'elemento 2.3).
La paziente, compiuti i 18 anni di età, ha fermamente deciso di interrompere il trattamento ortodontico. E' stata quindi inviata in consulenza presso il Reparto di Conservativa per correggere la forma conoide dell'elemento 2.2.
In seguito ad un primo esame obiettivo extra-orale ed intra-orale, si apprezzava a livello del settore mascellare anteriore diastemi tra 1.2, 1.1 e 2.1 e una asimmetria dei margini incisali. Si è quindi pensato di proporre alla paziente una soluzione poco invasiva che portasse ad ottenere una simmetria degli elementi del settore anteriore, un corretto posizionamento della linea mediana del sorriso e una chiusura del liene open-bite. Per far meglio comprendere il risultato estetico finale alla paziente, ed apportare eventuali modifiche di forma da essa desiderate, è stata effettuata un'analisi dentofacciale digitale grazie alla tecnica Aestetic Digital Smile Design (ADSD).
Il primo step è l'esame della dinamica del sorriso tramite videoclips utili ad un'attenta valutazione dei movimenti durante la funzione mimica e fonetica.
Sono state poi eseguite le foto extra-orali, ponendo il paziente in posizione eretta, con il capo ruotato in modo da avere il piano di Camper e l'asse bi-pupillare paralleli al pavimento, e le foto intra-orali frontali e laterali delle arcate dentarie in massima intercuspidazione, in testa-a-testa e del secondo sestante utilizzando un contrastatore nero.
Le immagini sono state quindi importate e gestite grazie ad un software per la post-produzione di fotografie (Adobe Photoshop CC PS), seguendo una procedura di rielaborazione della immagini comprensiva di più step.
1. Grazie all'Analogic Transfer System Comunication è stato possibile trasferire le misure del viso sul computer, facendo uso del dispositivo FATS (Face Analogic Transfer Support), che viene posizionato sul paziente durante l'esecuzione delle fotografie extra-orali. In particolare, le misure analogiche (mm) sono state convertite in quelle digitali (pixel), dando quindi la possibilità di misurare le dimensioni degli elementi dentari una volta rielaborate con ADSD.
2. L'immagine del sorriso del paziente è stata modificata alterando e modificando la morfologia dentale degli elementi 1.2, 1.1, 2.1 e 2.2 con il "Digital Dental Image Distorsion" (DDID). La nuova immagine ottenuta dalla DDID è stata mostrata al paziente durante un colloquio pre-operatorio in cui si va a spiegare il trattamento restaurativo.
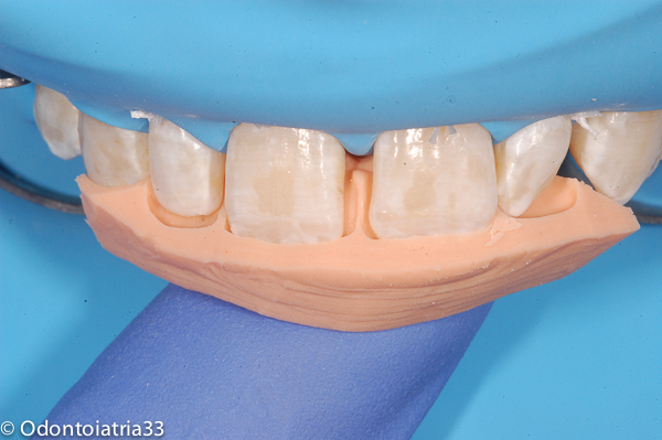
Una volta definito il risultato finale auspicato, il progetto viene fornito all'odontotecnico che, conoscendo e utilizzando le misure fornitegli attraverso la scala di misurazione usata dal software, può trasformare il progetto virtuale in una ceratura diagnostica, che servirà all'odontoiatra come guida e supporto per il trattamento.
Procedura clinica per l'esecuzione di restauri additivi in composito
Una volta isolato il campo operatorio mediante diga di gomma, le superfici degli elementi 1.2, 1.1, 2.1 e 2.2 sono state sabbiate con ossido di allumina 46 µm per rimuovere impurità e pigmenti dalle superfici dentarie, che sono state successivamente sottoposte a procedura adesiva utilizzando un sistema etch-and-rinse: mordenzatura dello smalto con acido ortofosforico 36% (Ultra-Etch, Ultradent) per 40 secondi, sciacquo con getto d'acqua per 30 secondi e asciugatura tramite getto d'aria; applicazione multistrato del bonding (Optibond FL, Kerr); polimerizzazione con lampada LED (Valo, Ultradent) per 20 secondi per ogni elemento.
Il restauri diretti sono stati eseguiti impiegando una tecnica di stratificazione incrementale delle diverse masse di composito (Clearfil ES-2, Kuraray). Una prima massa smalto (colore A1E), è stata apposta grazie alla mascherina in silicone ottenuta dalla ceratura diagnostica che è servita da supporto per realizzare le superfici palatali, stabilendo quindi le nuove dimensioni degli elementi dentari.
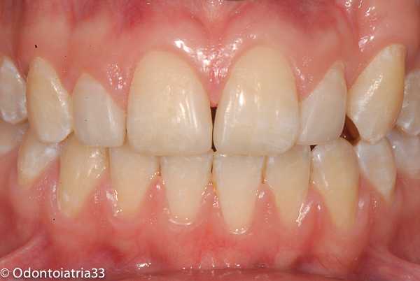
Le superfici interprossimali (colore A1E) con i nuovi punti di contatto sono state realizzate mediante matrici bombate di acetato (Garrison), stabilizzate da cunei di legno. A questo punto si è passati a stratificare la massa dentina (colore A2) che è stata poi ricoperta da un ultimo strato di massa smalto (colore A1E). Gli spessori delle apposizioni di composito e i rapporti tra gli elementi sono state sempre controllate da mascherine in silicone stampate sulla ceratura e tagliate trasversalmente. Ciascuna massa di composito è stata polimerizzata con lampada LED (Valo, Ultradent) per 20 secondi. Un ultimo ciclo di fotopolimerizzazione (10 secondi per ogni elemento dentario) è stata eseguita dopo aver ricoperto gli elementi dentari trattati con uno strato di gel di glicerina trasparente. I restauri sono stati poi rifiniti con frese a grana fine e dischetti (Soflex, 3M ESPE), lucidati con gommini diamantati a base siliconica (PoGo,Densply) e gommini a spirale (Kuraray).
Al controllo a sette giorni è stata eseguita la brillantatura con spazzolini auto-lucidanti (Occlubrush, Kerr Dental) e le radiografie periapicali finali.
Discussione
Oggi giorno l'odontoiatria diretta adesiva sta prendendo sempre più piede nel mondo odontoiatrico fino a sostituire, in alcuni casi, la protesi tradizionale. Casi clinici che una volta erano risolti con restauri adesivi indiretti in ceramica, come la chiusura di diastemi o la trasformazione di denti conoidi, oggi possono essere risolti con tecniche additive dirette. Questo è stato reso possibile grazie alla ricerca scientifica, che ha portato a una grossa evoluzione delle resine composite, in funzione dei problemi clinici relativi alla loro applicazione e al mantenimento nel tempo.
Le nanotecnologie hanno permesso di creare delle resine composite in cui alla matrice organica è associato un filler di dimensioni nell'ordine dei nanometri. Il riempitivo contiene nano-particelle di circa 25 nanometri e nano-aggregati di circa 75 nanometri, di zirconio o silicati. Questo tipo di compositi posseggono una viscosità che li rende ben modellabili, soprattutto nei restauri del settore anteriore. Il risultato finale è più performante, data la maggiore lucidabilità che permette di avere un ottima brillantezza e, se necessaria, una buona tessitura di superfice. Inoltre più il composito è lucido, minore sarà il suo accumulo di placca e maggiore sarà la sua longevità. Il problema della resistenza meccanica che un tempo caratterizzava i compositi dalle maggiori performance estetiche sono ora ovviati con i compositi di ultima generazione, grazie a nanoriempitivi e monomeri più performanti.
I vantaggi dell'uso della conservativa additiva per casi clinici di questo genere sono molti. La preparazione del dente è assente e, quindi, il sacrificio di tessuto sano è nullo. Inoltre questo tipo di restauri garantisce una completa possibilità di reintervento: possono essere ripetute le procedure di lucidatura e brillantatura nel corso degli anni; possono essere effettuate riparazioni dirette di eventuali fratture del compisito; i restauri possono essere tranquillamente sostituiti con restauri indiretti in ceramica qualora sia necessario per motivi funzionali. Le metodiche indirette al contrario, essendo più invasive, rendono non sempre possibile il re-intervento, dando nel caso anche restrizioni dal punto di vista operativo.
Le tecniche dirette, in aggiunta, hanno il vantaggio di poter essere utilizzate nell'immediato, garantendo al paziente un risultato veloce sia estetico sia funzionale, e a basso costo.
Le resine composite però, nonostante i passi da gigante fatti in questi anni, hanno il problema della longevità; infatti, al contrario delle ceramiche, possono andare incontro a pigmentazione e discolorazione del margine in minor tempo. Questo svantaggio condiziona molto la scelta del clinico, soprattutto perché sono poche le conoscenze delle resine composite di ultima generazione.
Non sempre è facile far capire al paziente che cosa potrà e cosa non potrà ottenere con una riabilitazione di questo tipo, sia con tecnica diretta che indiretta. Molte volte noi non sappiamo le reali aspettative del paziente, anche perché costui non ha idea delle potenzialità o dei limiti di una riabilitazione estetica. I software virtuali che permettono di far avere al paziente una pre-visualizzazione della riabilitazione cui sarà sottoposto possono facilitare la comunicazione operatore-paziente.
L'ADSD è uno di questi, una metodica standardizzata che sfrutta immagini fotografiche digitali e programmi di rielaborazione d'immagine per creare una pianificazione virtuale estetica del caso clinico, che serva da guida per eseguire un trattamento gradito e approvato anche dal paziente.
Il paziente
Copyright © Riproduzione vietata-Tutti i diritti riservati
approfondimenti 15 Maggio 2026
Una revisione internazionale esplora il ruolo delle piattaforme digitali nella comunicazione sanitaria, tra opportunità educative e necessità di costruire modelli affidabili di divulgazione
approfondimenti 08 Maggio 2026
Una ricerca conferma parte dal paradosso del nocebo per sottolineare come, nella medicina contemporanea, non basta curare bene, bisogna anche comunicare bene.
E’ il quesito che si pone il prof. Breschi nell’utimo editoriale su Dental Cadmos in cui sostiene che serve, per la professione, un equilibrio tra competenza clinica e...
Le norme ma anche e soprattutto le regole dal punto di vista della deontologia. Ne abbiamo parlato con il presidente CAO di Catanzaro che ha posto (sui social) la questione
approfondimenti 01 Aprile 2026
Uno studio brasiliano fotografa il fenomeno indicando quali piattaforme sono più utilizzare dal paziente per effettuare la scelta e perchè
O33protesi 26 Maggio 2026
Uno studio italiano propone uno schema per migliorare la comparabilità tra studi e favorire un’interpretazione clinicamente rilevante dei risultati protesici
O33protesi 25 Maggio 2026
Una revisione sistematica analizza come le diverse soluzioni protesiche complete, convenzionali e implantari, influenzino la qualità di vita correlata alla salute orale nella...
protesi 21 Maggio 2026
Obiettivo della tecnica è integrare modellazione clinica e workflow digitale per ottenere un controllo completo del progetto estetico riducendo le discrepanze tra pianificazione...
cronaca 15 Maggio 2026
Dal Congresso CAO all’Expodental Meeting il messaggio per la professione: L’IA rappresenta uno strumento potente, ma la cura è fatta di relazione tra medico e paziente
O33protesi 14 Maggio 2026
Analisi in vivo dell’accuratezza delle applicazioni mobili e della loro capacità di riprodurre le coordinate cromatiche gengivali in differenti siti clinici
protesi 06 Marzo 2017
Quando si decide di acquistare un sistema CAD CAM occorre prima chiedersi quanto tempo si risparmia per realizzare un manufatto protesico rispetto flusso convenzionale di laboratorio.Il sistema di...
approfondimenti 22 Febbraio 2017
Dopo la circolare MiSE che ha confermato la decisione dell'Ufficio del Registro di Trento di non accogliere la domanda di una società di capitale che chiedeva di essere registrata come...
Normative 27 Maggio 2026
Ai Ministeri competenti, oltre ai chiarimenti viene ribadito: gli studi monoprofessionali non sono coinvolti
Cronaca 27 Maggio 2026
All’Università Campus Bio-Medico di Roma il primo “Anatomy Lab” per una formazione avanzata tra pratica clinica ed eccellenza nella simulazione
Ancora per questo fine settimana la mostra fotografica “5.000 lire per un sorriso”. Mello (CAO Torino): un sorriso naturale di sano benessere che purtroppo molti danno per...
Approfondimenti 26 Maggio 2026
Le celebrazioni a Torino in occasione di una giornata di approfondimento scientifico. Sanna: “Ci sono momenti in cui fermarsi non significa rallentare, ma dare forma e senso al cammino fatto”
Normative 26 Maggio 2026
La CCEPS, conferma la sanzione all’odontoiatra che non motiva la mancata assenza alla convocazione da parte del suo Ordine
Cronaca 25 Maggio 2026
A votarlo il 53% dei Delegati. Una presidenza nel segno della continuità che si apre nel segno del dialogo, per ricucire le tensioni nate in campagna elettorale, puntando alla coesione interna
Aziende 25 Maggio 2026
Dal laboratorio IDI RDL nasce la linea premium di finalizzazione protesica, firmata dai maestri odontotecnici
Musella: auspico un futuro di collaborazione sempre più costruttiva e concreta tra le due organizzazioni sindacali per il bene della professione
Meglio Medicina e Veterinaria che coprono quasi tutti i posti. Ottolenghi: il dato positivo è aver potuto costituire fin da subito le classi, senza attendere i ritardi dovuti agli scorrimenti
Igienisti Dentali 22 Maggio 2026
Dalla 79ª edizione del Festival di Cannes, la prof.ssa Nardi osserva un cambiamento di tendenza verso la naturalezza imperfetta del sorriso dello star system, sottolineando che spesso il sorriso...
di Prof.ssa Gianna Maria Nardi
Approfondimenti 22 Maggio 2026
Monaco (FNOMCeO): ogni ora di formazione su simulazioni di processi con IA rilascerà 3 crediti ECM. A breve un corso FAD gratuito sull’Intelligenza Artificiale per medici e odontoiatri
Approfondimenti 22 Maggio 2026
Una ricerca ha analizzato come le procedure estetiche dentali minimamente invasive incidano su soddisfazione, qualità della vita orale e dimensioni psicologiche dei pazienti, includendo anche il...
Cronaca 21 Maggio 2026
A chiederlo ai ministeri competenti l’AIO Torino Cuneo che vuole in particolare chiarire se l’eventuale obbligo interessa anche agli studi mono professionali o associati
Approfondimenti 21 Maggio 2026
Presentato Check Up Odonto-Sportivo, lo applicherà in via sperimentale il Torino calcio. Le visite preventive fatte agli atleti hanno indicato criticità odontoiatriche. Prof. Testori: la salute...
