Il sonno è uno stato fisiologico necessario per il benessere psicofisico dell'individuo. I disturbi del sonno colpiscono un'ampia fascia della popolazione adulta, dal 10 al 50%, con importanti ripercussioni sulla salute e sulla qualità di vita.
Il secondo modulo del terzo corso FAD 2015 (Dental Cadmos 9/2015, autori Elena Maria Varoni, Valeria Martini, Alessia Albonico, Onalda Dai, Marcello Iriti dell'Università degli Studi di Milano) esamina i più recenti studi presenti nella letteratura scientifica internazionale sul legame tra odontoiatria e sonno.
Un'interessante disamina dei vari aspetti fisiopatologici del sonno (fig.1) introduce l'obiettivo del lavoro che è quello di descrivere l'eziologia, gli aspetti clinici e le caratteristiche delle patologie odontoiatriche correlabili ai disturbi del sonno e di fornire elementi utili per la gestione del paziente che ne soffre.
Tre sono le patologie più frequenti: l'apnea ostruttiva notturna (OSAS, obstructive sleep apnea syndrome), il bruxismo, il dolore oro-facciale.
OSAS
L'OSAS è caratterizzata da un'interruzione completa del respiro, ripetitiva, della durata di almeno 10 secondi, causata dal collasso delle vie aeree superiori, il disturbo può presentarsi anche in forma meno grave con una riduzione incompleta (almeno del 50%) del flusso respiratorio. La terapia con dispositivi orali è indicata nei casi di OSAS lieve o moderata o nei casi di OSAS grave quando la respirazione a pressione continua positiva o CPAP (continuous positive airway pressure) non è tollerata. Esistono due categorie di apparecchi, quelli che trattengono la lingua in posizione anteriorizzata (TRD, tongue retaining device) e quelli che avanzano la mandibola (MRA, mandibular repositioning appliances).
Bruxismo
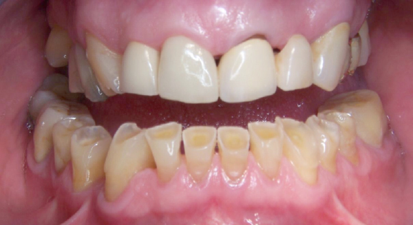
Quando il bruxismo, parafunzione orale di serramento o digrignamento dei denti, si manifesta di notte si verifica soprattutto nelle fasi di sonno leggero non-REM, solo il 10% nella fase REM, ed è stato associato a quadri di insonnia. Si può parlare di due tipologie di bruxismo notturno: uno primario o idiopatico, senza una causa identificabile, e uno secondario associato a condizioni socio-psicologiche o altre condizioni mediche. Per quanto riguarda il trattamento si cerca di gestire il disturbo e gli eventuali sintomi allo scopo di prevenire le possibili complicanze a carico dell'apparato stomatognatico (fig.2). Tra le possibilità terapeutiche vi sono l'utilizzo di bite, il trattamento con farmaci miorilassanti e in alcuni casi il ricorso a terapie cognitivo-comportamentali.
Dolore oro-facciale
Si può definire il dolore oro-facciale come una disfunzione del terzo ramo del nervo trigemino. Si associa, più spesso, ai disordini temporo-mandibolari, includendo anche quadri di sindrome della bocca che brucia o burning mouth syndrome. In generale, i disturbi del sonno possono essere causa o aggravare il dolore cronico.
Farmaci ipnotici
Per finire occorre prestare particolare attenzione ai pazienti in terapia con farmaci ipnotici per il trattamento dell'insonnia. In questi casi è consigliabile valutare la presenza di iposalivazione e correggerla, se necessario, con una corretta idratazione, l'impiego di sostituti salivari e la stimolazione delle ghiandole salivari.
Sintesi a cura di: Anna Maria Melica, Consulente Scientifico Dental Cadmos
Copyright © Riproduzione vietata-Tutti i diritti riservati
O33sleep-medicine 14 Gennaio 2026
Un modello di IA rivoluziona la diagnosi precoce delle malattie. Particolare attenzione per i pazienti con bruxismo
Uno studio italiano ha cercato di indagare in che modo i cambiamenti di posizione durante il sonno siano influenzati dall’OSAS e dall’utilizzo di un dispositivo di avanzamento...
di Fabio Gatti
sleep-medicine 05 Maggio 2025
Le indicazioni della World Sleep Society, per utenti, medici, ricercatori e produttori, al fine di ottimizzare l'uso e lo sviluppo dei dispositivi indossabili
sleep-medicine 01 Aprile 2025
Uno studio italiano pubblicato su Dental Research Journal ha esaminato la relazione tra parodontite e sindrome dell’apnea ostruttiva del sonno
di Fabio Gatti
sleep-medicine 13 Marzo 2025
Anche gli odontoiatri possono e devono educare i propri pazienti sull’importanza di una buona igiene del sonno
O33protesi 17 Aprile 2026
Una ricerca ha valutato l’impatto del bruxismo notturno sulla performance clinica, sulla sopravvivenza e sul successo di corone singole in disilicato di litio e zirconia applicate in regione molare
O33ortodonzia-e-gnatologia 29 Gennaio 2026
Uno studio chiarisce il legame tra ansia, serramento dentale e dolore. Il profilo psicologico come elemento centrale nella pratica clinica.
O33ortodonzia-e-gnatologia 16 Ottobre 2025
Un studio evidenzia come i fattori psicologici modulino la funzione masticatoria, suggerendo approcci diagnostici e terapeutici su misura per ogni paziente
O33strumenti-e-materiali 07 Ottobre 2025
Una ricerca in vivo conferma l'efficacia di innovativi bio-agenti attivi nel bloccare la perdita minerale precoce di superficie dentale causa usura
O33ortodonzia-e-gnatologia 12 Maggio 2025
Una ricerca pubblicata sul JOR analizza la possibile correlazione tra problemi di TMD e beuxismo in soggetto con stress post traumatico
O33ortodonzia-e-gnatologia 28 Aprile 2025
Uno studio ha indagato la correlazione ed in particolare le azioni ripetitive che coinvolgono denti e mandibola al di fuori delle normali funzioni fisiologiche
O33ortodonzia-e-gnatologia 09 Aprile 2025
Una metanalisi pubblicata sul JPD ne indaga la possibile correlazione evidenziando come una percentuale significativa di pazienti con TMD presenta disturbi psicologici
Approfondimenti 17 Aprile 2026
Disponibile il nuovo volume di Ezio Bruna, Andrea Fabianelli e Marco Corrias. Una guida metodologica dalla prima visita alla realizzazione finale del dispositivo protesico
Approfondimenti 17 Aprile 2026
Uno studio pubblicato su Dentistry Journal ha confrontato il modo in cui il caries risk management viene applicato nella pratica quotidiana in alcuni paesi europei
Nel suo editoriale su Dental Cadmos, il direttore scientifico prof. Lorenzo Breschi propone una serie di riflessioni sulle tante direzioni che l’odontoiatria italiana sta...
O33Inchieste 17 Aprile 2026
Una ricerca ha messo a confronto i costi delle protesi totali realizzate con workflow digitali e quelli delle tecniche tradizionali in Svizzera, Stati Uniti, Giappone e Italia
L’ASL Salerno: L’obiettivo è garantire l’accesso alle cure odontoiatriche anche a chi, per condizioni economiche o logistiche, fatica a rivolgersi ai servizi tradizionali ...
Cronaca 16 Aprile 2026
Accedendo alla propria Area riservata sul sito ENPAM è possibile scaricare la Certificazione degli oneri deducibili e la Certificazione Unica
O33Approfondimenti 16 Aprile 2026
Su Dental Cadmos pubblicato un consensus con indicazioni e consigli sulla documentazione fotografica in medicina estetica odontoiatrica del viso
Aziende 16 Aprile 2026
Gli studi dentistici italiani hanno 300.000 euro nel gestionale, centinaia di vecchissimi pazienti già acquisiti aspettano che qualcuno li richiami. I consigli di DentalLead ...
Nuovi servizi extra Lea e innalzamento delle soglie Isee, attivazione di 6 pronto soccorso odontoiatrico, più assistenza per pazienti con disabilità e giovani
Cronaca 15 Aprile 2026
Senna: servono regole nuove per poter meglio tutelare i cittadini. Come CAO continuiamo a impegnarci per fare in modo che le STP siano l’unica forma societaria per esercitare...
O33Approfondimenti 15 Aprile 2026
Lo SPID sta diventando a pagamento, l’alternativa, gratuita, si chiama Carta d’Identità Elettronica. Ecco come funziona e come attivarla
Musella: un progetto ambizioso che mira a formare una nuova generazione di odontoiatri, capaci di coniugare competenza tecnica, responsabilità etica e apertura al cambiamento ...
Il presidente Allegri presenta il Congresso di Maggio e riflette sull’anniversario numero 40 dell’Accademia Italiana di Odontoiatria Conservativa e Restaurativa
Le precisazioni della Presidente IDEA in merito all’aggiornamento obbligatorio ASO sottolineando i tanti punti ancora non chiari. Abbondanza: “Serve riattivare al più presto...
